事前に1,000部が購入されれば、幻冬舎さんの編集による出版が決定!
本の出版はプロジェクトの達成
【1,000部、250万円分の事前購入】
により決定します!
プロジェクトが未達成の場合
全額支援いただいた方には返金。
出版も全てなかったことになります。
猛烈に高いハードルですが
皆さんと一緒に達成し
ガッツポーズをしたいと思っています!
*1月15日追記 MYPROTEIN 協賛決定!

イギリス最大級のスポーツ栄養ブランドである
MYPROTEIN さんにご協力いただき、
すべてのリターンに、8500円以上購入の際に使える
マイプロテイン商品2000円分無料クーポン
の提供をいただきました!(他コードの併用不可。)
術後、猛烈なリハビリを続ける中で
【競技力なんかじゃない。檀野の人生を応援する。】
とボクの初めてのスポンサーになってくれた
MYPROTEIN。
また背中を押してくれる。
ホンマにありがとうございます!!
(*リターンの項目に追記していませんが
書籍のお届けにクーポンを
同封させていただきます。)
こんにちは!
脳腫瘍系アスリートの
檀野俊(だんのしゅん)です!
ダンノマンと呼ばれています。

現在28歳。
十種競技選手として人生を賭けて日本一を、
そして世界大会出場を目指して
日々猛烈なトレーニングに明け暮れています。
十種競技といえば
『キングオブアスリート』と言われるほど
過酷なスポーツであり、
十種競技選手は基本的に超絶健康体です。
ボクももちろん例外なく、
その中の一人だと思っていました。
超健康体すぎて、すぐ服を脱ぐ十種競技選手たち
ところが、23歳の若さで自分が
脳腫瘍に侵されていると判明し
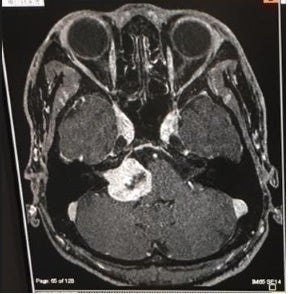
25歳のとき、脳腫瘍摘出手術を行いました。
誰が見てもわかる脳腫瘍がありました
腫瘍の97%は摘出でき、手術は成功。
ただし、摘出手術の後遺症で
右耳の聴力は完全に無くなり
右側顔面麻痺
平衡感覚障害が残りました。
後遺障害のために身体を起こすことも出来ず
全身余すことなく管だらけ。
寝たきりの状態になりました。
術後のダンノマン
医師「競技スポーツに、
ましてや十種競技に復帰するなんて。
前例が全くない。」
とてもとても悲しそうに、
だけど、優しく噛みしめるように、
主治医の先生が話してくれました。
命は助かりました。
だけど、生きがいである陸上競技が
無くなってしまった。
この先、生きがいを失った人生を
生きる意味があるのか。
と、ベッドの上でただただ天井を見ながら
命と、生きがいと、人生と向き合いました。
開頭手術の手術痕
人間は出来ないことを考えつく天才です。
ひとりで立ち上がることも、
移動することもできない。
出来ない理由はいくらでも浮かんでくる。
だけどボクは、頭蓋骨を開け、脳を触り
二度と開かないかもしれない瞳を閉じた。
あの手術でボクは1度死んだんじゃないか。
たまたまもらった2度目の人生。
できるかもしれない理由がひとつでもあるなら
ボーナスステージだと思って挑戦しよう。
2度目の人生 を、
【強くてニューゲーム】を始めよう。
また1からレベルを上げていくことができる。
その喜びを噛み締めながら
圧倒的なリハビリが始まりました。
試行錯誤し、失敗し、失敗し、失敗しながら
失敗の数だけ心身ともに
成長することができました。
......それから半年後
十種競技に復帰し、年代別日本新を更新。
SASUKEにも出演するほどの復活ができました。
SASUKENo.79で出演
どうしようもない現実や
到底越えることができないような
そびえたつ壁を前にしても
僕はひたすら笑顔で楽しみながら
前に進んできました。
(かの有名な反り立つ壁には
一度阻まれました)
人力車夫の先輩と
動かない右半分の口角も、
指先ひとつで聴神経腫瘍ポーズに早替わり。
小言や悪口を言われても、
右側からなら聴こえない。
いつしか後遺症で遊べるようになり、
僕の人生に色彩が戻ってきました!
どんな状況でも、
楽しみながら乗り越える視点と思考を。
そのエネルギーを胸に、
正しい方向に進もうとすれば
未来には必ず素晴らしい結果が待っている。
そんなことを
脳腫瘍と後遺障害が教えてくれました。
笑いながら気軽に読める闘病記を作りたい。
本を出版するという夢に、
今この瞬間からチャレンジしたい。
その想いを持って
CAMPFIREさん、幻冬舎さんと
EXODUS
という新しいプロジェクトを開始しました。CAMPFIRE本社で唯一の半ズボン
『資金が貯まれば...』
『もっと社会に認知されてから...』
ここでも、やらない理由は
無限に浮かんできました。
それでも、明日本当に死ぬかもしれない。
そう思って生きている僕は、
死ぬ気でプロジェクトを成功させて
夢を叶える未来を選択しました!
世にある闘病記から学ぶことは多いです。
著者のリアルな体験や感情が全て
詰め込まれています。
苦悩、痛み、絶望、もちろん希望も。
脳腫瘍と診断されてから
多くの方の闘病記に触れてきました。
筆者の経験や思いが流れ込んできて
ぼくのココロじゃ受け止めきれずに
辛い思いになることが多くありました。
何かで悩んでいる時に
辛い気持ちになる文章に触れるのは
とても勇気が必要です。
これから未来に待ち受ける苦難に対して
覚悟を決めるための闘病記ではなく
困難への向き合い方
立ちはだかる壁の楽しみ方を感じて欲しい。
笑顔になるために僕の闘病記を読んで欲しい。
それも、
ギャグ漫画を手に取るような軽い気持ちで。
著者の覚悟や悲しみに共感できる闘病記は
絶対に必要です。
ただ、世界に一冊くらい
「なんやコイツアホやな!」
「おもろいヤツやなコイツ!」
と思う闘病記があってもいい。
そう思いませんか?
たったひとりでも
僕のこの経験で笑顔にすることができたら。
この2度目の人生も
生きている価値が出ると思います。
そんな、闘病記を超えた「超闘病記」が
この世界に一冊くらいあっても
いいんじゃないかと僕は思うのです。
その誰も踏み出したことのない一歩を、
皆さんと共に踏み出したい。
僕と共に、
完結しない闘病記
を作っていきましょう!!

『良い身体を作ると良い男が寄ってくる』
を信念に、【筋トレ×婚活】
の実録(?)4コマを描いている
美女?漫画家みかんありさ
(https://twitter.com/mikanarisa)
に作中のイラストを描いてもらいます!
大好評連載中の筋婚DASH!!
みかんありさはダンノマンの実の姉であり
ボクの人生の一部始終を間近で見ています。
そんな、主観的でもなく
全くの客観的でもない、
2.5人称の視点でダンノマンを見てきた
みかんありさと共に作る闘病記。
ボク自身、どのように描かれるか
本当に楽しみです!

この『超闘病記』の序章を
ブログ「ダンノマンのゴリライフ」
にて公開中です。
この序章を読んでいただき、
「この先が気になる」
「続きを読みたい」
「なんやねんこの変人は。
ちょっとオモロいやないか!」
と思っていただけたら
このページ内にて購入していただくと幸いです!
※序章はこちら!!


リターンその① トークイベント参加券!

支援していただいた皆さんとお会いしたい!
全てのリターンに
『トークイベント参加券』を設定しています。
文章だから表現できること
喋ることでしか表現できないこと
それぞれをそれぞれの方法で余すことなく
受け取って欲しいと思っています!
トークイベントは関西で実施する予定です!
超闘病記の内容や
書籍には書けなかったウラ話
皆さんからの質問にその場で答えます!
『ダンノマンならこんな時どうするの?』
などの人生相談や
『どんなサプリメント飲んでるの?』
などの、トレーニングや健康
についての相談でもなんでもござれ。
僕に会ったあと、心と身体を健康にして
ニコニコで帰路について欲しいと思ってます!
リターンその② 名入れ
書籍を購入いただいた方の名前を
スペシャルサンクスとして巻末に
名入れをさせていただきます。
リターンその③ 一言メッセージ&サイン
ダンノマンから直筆で
魂のこもった一言メッセージと
圧倒的なサインをさせていただきます!!
今回のクラウドファンディングで
購入していただいた分しか
この地球上に「紙の本」は生まれません。
さらにそこに
世界に一つだけの要素をプラスして
皆さんの元に届けます。
ぜひ皆さんの力で僕を腱鞘炎にしてください!
リターンその④ オフィスフィットネス体験

100,000円以上の支援をいただいた方には
僕がオフィスに伺い
「オフィスでできるフィットネス」
を体験してもらうことも可能です!
ゆったりフィットネスも、
ハードなトレーニングも
ご希望に合わせてオーダーメイドで
トレーニングプランを作ります!
オフィスフィットネスの様子
皆さんで身体を動かすことで、
心と身体の健康だけでなく
社員のコミュニケーションも円滑になり
会社の風通しもよくなる
との声をいただいております。

目標金額
目標金額は
250万円
1口2,500円×1,000冊
で達成することができます。
1,000冊というと
一見少ないように見えるかもしれませんが
1,000人もの人がこの闘病記に興味を持って
チームになってくれる。凄まじい数です。
皆さんと一緒に
この超闘病記を作り上げたいと思っています。
どんな未来も楽しめる人を増やしたい。
そのために、僕が闘病生活で学んだ考え方や
困難を目の前にした時に、どう行動して
笑って乗り越えてきたかを
知って欲しいと思います。
これから後に続く人が
僕の歩いてきた道を通らずとも
同じ学びができるように。
僕が感じたしんどいことや苦しいことを
わざわざ体験しなくてもいいように。
今の考え方に
もっと幼い頃からなっていれば
より一層、最強におもろい人生を
歩めたんだろうなあと思います。
おもろい人生を簡単に歩める人が
世界に少しでも増えたらいいなあ。
そんな世界の実現にこのプロジェクトで、
1ミリでも近づくことができれば
僕が2度目の人生を
運良く授けられた意味が生まれるのかな
と思います。
実施スケジュール
12月 クラウドファンディング開始
1月 クラウドファンディング終了
2月〜4月 執筆製本開始
5月 順次発送
6月以降 出版講演会開催
FAQ
Q:どうやったら支援出来るんですか?
A:こちらのCAMPFIRE様の手順ページをご確認いただければと思います。
CAMPFIREの仕様などに関わる部分はこちらではお受けしておりませんので
CAMPFIRE様へお問い合わせをお願いいたします。
Q:別途の送料はかかりますか?
A:かかりません、支援金に含まれております。
Q:目標金額に達しなかった場合はどうなるんでしょうか?
A:All-or-Nothing方式を採用しておりますので
期間内に目標金額に満たない場合はプロジェクトが
中止となり支援者様には全額返金されます。
Q:支払い方法はどんなものが有りますか?
A:クレジットカード(VISA / MASTER / AMEX / Dinners / JCB )
コンビニ払い、Fami-Pay、Pay-easy(銀行振込)
auかんたん決済
ソフトバンクまとめて支払い・ワイモバイルまとめて支払い
ドコモ払い、Paypal が選択可能です。
詳しくはCAMPFIRE様のヘルプページをご覧下さい。
Q:購入したリターンをキャンセルしたい、別のリターンを購入し直したい
A:一度ご支援頂いたリターン内容を変更、キャンセルする事は
承れませんので必ず支援するコースをご確認の上決済までお進みください。
Q:講演会当日急遽都合がつかなくなってしまった場合返金は可能ですか?
A:申し訳有りません、一度ご支援頂いたコースに関しては支援者様都合により
キャンセルや払い戻しは行っておりませんのでご了承願います。
また支援内容の譲渡や売買などは一切禁止とさせていただきます。
該当行為が発覚した場合は権利剥奪の措置等
然るべき対応を取らせていただく事も御座います。
主催者側都合で日程が変更、中止などになった場合は
振り替えや払い戻しなどのアナウンスは別途行わせていただきます。
Q:一般発売はありますか?
クラウドファンディング以外で手に入りますか?
A:プロジェクトがサクセスした場合クラウドファンディング支援者様に
お届けの後、電子版のみ幻冬舎様より発刊予定です。
書籍に関しては現状未定となっております。
Q:リターンの郵送は局止めなどの対応は可能でしょうか?
A:不可となります。一括してご登録頂いた住所への郵送となります。
(住所間違いにより期日までに受け取りが出来ない等の
トラブルが起こっております。
ご自身の住所の間違いがないか支援前に必ずご確認下さい。)
Q:配送先の住所変更はできますか?
A:住所変更の受付はプロジェクト終了までとさせていただきます。
配送先の住所変更は
「マイページ(右上のアイコン)>支援したプロジェクト
>右へスクロールしたお届け先>確認する」で行うことができます。
それ以降の住所変更については本プロジェクトページにある
「メッセージで意見や質問を送る」というリンクから直接ご連絡ください。
リターンの発送業務などの観点から2020年4月1日以降の変更には
ご対応出来かねる可能性が御座いますので
変更がある場合はお早めにお願いいたします。
Q:このプロジェクトに関する問い合わせ先を教えてください。
A:プロジェクト開始前まではページ上部の『フィードバックを送る』より。
プロジェクト開始後は当プロジェクトページの上部に
『メッセージで意見や質問を送る』欄から
お問い合わせいただきますようお願いいたします。
(CAMPFIREアカウントが必要です)
Q:支援後連絡などはどこで行われますか?
A:CAMPFIREメッセージもしくはメールにてやりとりとなります。
プロジェクト期間内も新情報などアップデートする事も
ありますので受信可能な状態にしておいてください。
ーーーーーーーーーーーーーーーーーーー
※本のタイトルは執筆完了時の内容により
変更となる場合がございます。あらかじめご了承くださいませ。
最新の活動報告
もっと見るマイプロテインの登録・購入方法
2020/10/29 18:18こちらの活動報告は支援者限定の公開です。電子書籍データの送付
2020/10/01 19:38こちらの活動報告は支援者限定の公開です。超闘病記がお手元に!
2020/10/01 13:00お世話になっております。ダンノマンです!9月末に東京、campfire本社に伺い、サイン&一言メッセージを希望いただいたプランの方の書籍に叩き込んできました!そして、昨日(9/30)に支援者の元へどんどんと本が旅立って行き、早速本日10月1日、超闘病記が届いた!との声をいただいてます!10月、下半期のスタートをテンション上げてみなさんが迎えられるような本を作ることができたので、ぜひ到着の報告や、感想をボクにぶつけてください(^^)!SNSにハッシュタグ「#超闘病記」とともに投稿いただけたらダンノマンが小躍りします!10/3(日)にリターンのオンライントークイベントも開催させていただきますので、支援者の皆さんへまたURLなど追って連絡させていただきます(^^)これからもどうぞよろしくお願いします。*本日から、陸上競技の全日本選手権が新潟にて行われています!YouTube での配信も行っているので、みなさん仕事の合間にトップアスリートの競技を見て、心拍数を上げてもらえたらと思います(^^)! もっと見る








