はじめに・ご挨拶
閲覧していただきありがとうございます。長文になりますが一読して頂けると嬉しいです。
はじめまして。みるの飼い主の平井と申します。
愛犬のみるが心臓病の憎帽弁閉鎖不全症になり、薬で治療をしています。
みるとはペットショップで出会いました。
みるは生まれつき後ろ足の関節が弱く、2歳の頃に足のパテラ(膝蓋骨脱臼)の手術をしましたが、これまで元気に暮らしてきました。
病気の告知~現在の状況
今年の4月上旬フィラリア検査に訪れた際に心雑音を指摘され、詳しく検査をしてもらったところ、憎帽弁閉鎖不全症の告知を受けました。
すでに中度~重度で肺水腫の一歩手前と診断され、血液の逆流も多く恐らく一部太い腱索が切れているだろうと言われました。
聞いた瞬間目の前が真っ暗になり現実を受け止められませんでした。
告知を受けた日からみるの些細な仕草でも気になり、みるが咳をすると自分の息も止まるような肺水腫に怯える毎日になりました。
告知を受けた際、薬による治療か手術による治療かの選択があること、手術をする場合この手術が出来る先生は数人しかいないことを教えてもらいました。
そして、専門病院で詳細な検査を受けたところ、片方の弁の太い腱索が切れており重度、もう片方の弁の腱索も変形がみられ中度と言われました。そして恐らく今年中に利尿剤が必要になるだろうと言われました。
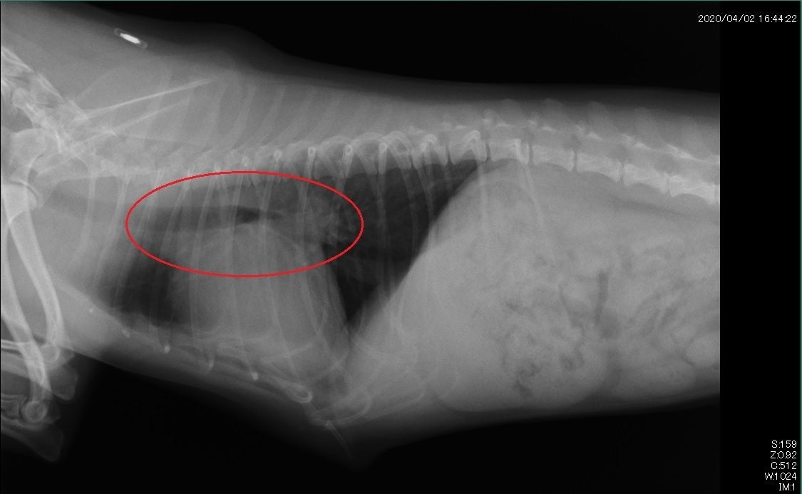
初診時。心臓の肥大がみられ気道を上へ押し上げ圧迫しています。
血液が逆流している様子
現在、薬は3種類(ピモベハート1回1錠×2、アピナック1回1錠×2、アムロジピン1回1/4錠×2)を処方されています。
ピモベハートは通常の量だとあまり効いてくれず心臓が小さくならないので倍の量を飲んでなんとか肺水腫を免れている状況です。
脈拍と呼吸数を毎日朝と晩に計り、脈拍は平均90~110で、呼吸数は落ち着いていて23前後です。
とりあえず今出来ることを精一杯しようと、毎日呼吸数・脈拍の計測、散歩は熱中症に気を付け暑い時間帯は避ける、空調の管理、塩分の少ない食事、あと車を運転できないため夜中に肺水腫になった時迅速に対応できるように病院へ着て行く服の用意とすぐタクシーが呼べるように配車アプリを起動してから寝ています。ただ、夜中に咳をすることや逆しょっくりをすることもあるので都度起きて体調を確認しています。
現状、もう片方の弁の太い腱索がいつ切れるかわからないのと、心臓肥大によりいつ肺水腫になってもおかしくない状態だと言われています。
![]()

最近は1日中ほとんど寝ています。
元気な頃は走るのが好きでした。
このプロジェクトで実現したいこと
【憎帽弁閉鎖不全症の手術】
この手術は高度な技術がいるため、手術を実施できる病院も限られています。
命を懸けて行うのでリスクも高いですが、成功率も高いです。
肺水腫になる前に、まだ手術を受ける体力があるうちに助けたいです。
プロジェクトをやろうと思った理由
投薬治療を続けていくという選択肢もありますが、8歳という年齢を考えると寿命を全うする前に肺水腫になる可能性が高く、一度肺水腫になると何度も繰り返します。
苦しい思いを何度もして、さらに散歩や走ることを制限する犬生にはしたくありませんでした。
リスクの高い手術ですが、治せない病気ではありません。治せる術があるのに諦めることがどうしても出来ませんでした。
本来であれば手術費用を用意するのは飼い主の義務だと思っております。
飼い始めの頃から将来を考え7割保障の保険に加入していましたが、手術や通院費用には保障限度額(手術代140,000円、入院費1日上限14,000円)があり、この病気の告知を受けた際すでに中度~重度の症状で手術費用を蓄える時間があまりなく、さらにコロナの影響で収入が減り貯蓄をあわせても手術費を用意することが困難になってしまいました。
一人暮らしで飼っており、みるの事を心配しながらも半日留守をさせて働いている状況ですがこのままでは手術までに間に合いそうになく、現状コロナの影響で苦しんでいる方が多いなか頼ることに対し心苦しさでいっぱいなのですが、応援して頂けたらと思いました。
様々なご意見を頂戴することは覚悟しておりますが、自分の命よりも大事なみるを助けたい一心でこのプロジェクトを立ち上げさせていただいた次第となります。
これまでの経緯
4月 僧帽弁閉鎖不全症との診断、投薬開始。専門病院(大阪、愛知)で心臓検査2回
5月 定期健診2回、心臓検査
6月 心臓検査
8月 心臓検査
9月 手術を受ける病院での心臓検査、定期健診
資金の使い道
全て僧帽弁閉鎖不全症の手術代、治療費に使わせて頂きます。
・手術費 1,540,000円(税込) ※入院10日分込。延長の場合は、別途日額2万円(税別) 。
目標額1,500,000円 ー CAMPFIRE手数料280,500円(17%+消費税)=1,219,500円
その他
・術後の定期検査
リターンについて
大きな支援に見合うだけのリターンが出来ず申し訳ございませんが、感謝の気持ちをメッセージや動画等で精一杯お伝えさせて頂きます。
また、今回支援して頂いたバトンを繋げられるように同じような状況にある飼主様へ寄付等の活動を今後して参ります。
実施スケジュール
9月4日に手術を行う病院にて再度心臓検査があります。その際に手術日が確定します。
決まり次第ご報告させて頂きます。→11/10に決まりました
最後に
◎みるの事
他のワンちゃんに興味なし、匂いを嗅いでこられると固まる。
お菓子の袋を開ける音で飛んでくる。
なでるのを止めると催促してくる。
じーっと見つめてくる。
玄関でまるまって帰ってくるのを待っててくれる。
好きなおやつ:ドライフルーツ(りんご)
好きなおもちゃ:音が鳴るぬいぐるみ
みるは私の人生の中で一番の宝物です。いなくては生きていけない、それぐらいの存在です。
健気な姿に学ばされ、無邪気な笑顔に何度助けられたかわかりません。
手術を決断するのに悩みに悩み、決断した今でも大きな手術をさせてしまうことに胸が痛み心は晴れませんが、みるはまだ8歳で、ただでさえ短い犬の寿命を1分1秒でも全うさせてあげたいと思いました。
遊んでとおもちゃを持って来るみると遊んであげることが出来ない日々はとても辛く、犬本来の生活に戻してあげたいです。
1度の肺水腫で亡くなってしまう子もいます。息が苦しくてしんどい思いをして亡くなることだけはどうしても避けたいと思いました。
私のこの決断がみるの一生を左右するかもしれないと考えるだけで毎日息が詰まりそうな思いですが、責任をもって命と向き合おうと思っています。
お力を貸して頂けないでしょうか。
<All-in方式の場合>
本プロジェクトはAll-in方式で実施します。目標金額に満たない場合も、計画を実行し、リターンをお届けします。
最新の活動報告
もっと見るリターンについて
2021/01/25 13:33こちらの活動報告は支援者限定の公開です。近況、術後1ヶ月健診
2020/12/13 12:00こちらの活動報告は支援者限定の公開です。近況
2020/12/04 18:19こちらの活動報告は支援者限定の公開です。






ああ、みるちゃん良かったぁ🤗 ほんとに良かった! これからはInstagramの方を楽しみにしていますね🤗 ほんとに良かった🤗
みるちゃん、頑張れ。毎日祈っています。 どうか早く良くなりますように。 みるちゃんママも大変だけど頑張ってね。
手術の成功おめでとうございます。 みるちゃん、ママさん、お疲れさまでした。 ここでちょっと一息ついて、ご自愛ください。 みるちゃんの元気な姿を楽しみにしています。