はじめに・ご挨拶
初めまして。千葉県在住の安座間と申します。
数あるプロジェクトの中から目に止めていただきありがとうございます。
2歳になる娘と、もうすぐ3歳になるシーズー、夫と暮らしている専業主婦です。
初めてのクラウドファンディングで、不慣れな点もあるかと思いますがよろしくお願い致します。
このプロジェクトで実現したいこと
交通事故にあった保護ネコちゃんの手術・入院費用と容態が安定するまでの治療費用、ワクチンや去勢などの今後生活する為に必要な処置費用をご支援いただきたいです。
【容態・診断結果】
◯猫エイズウイルス感染症
◯骨盤骨折
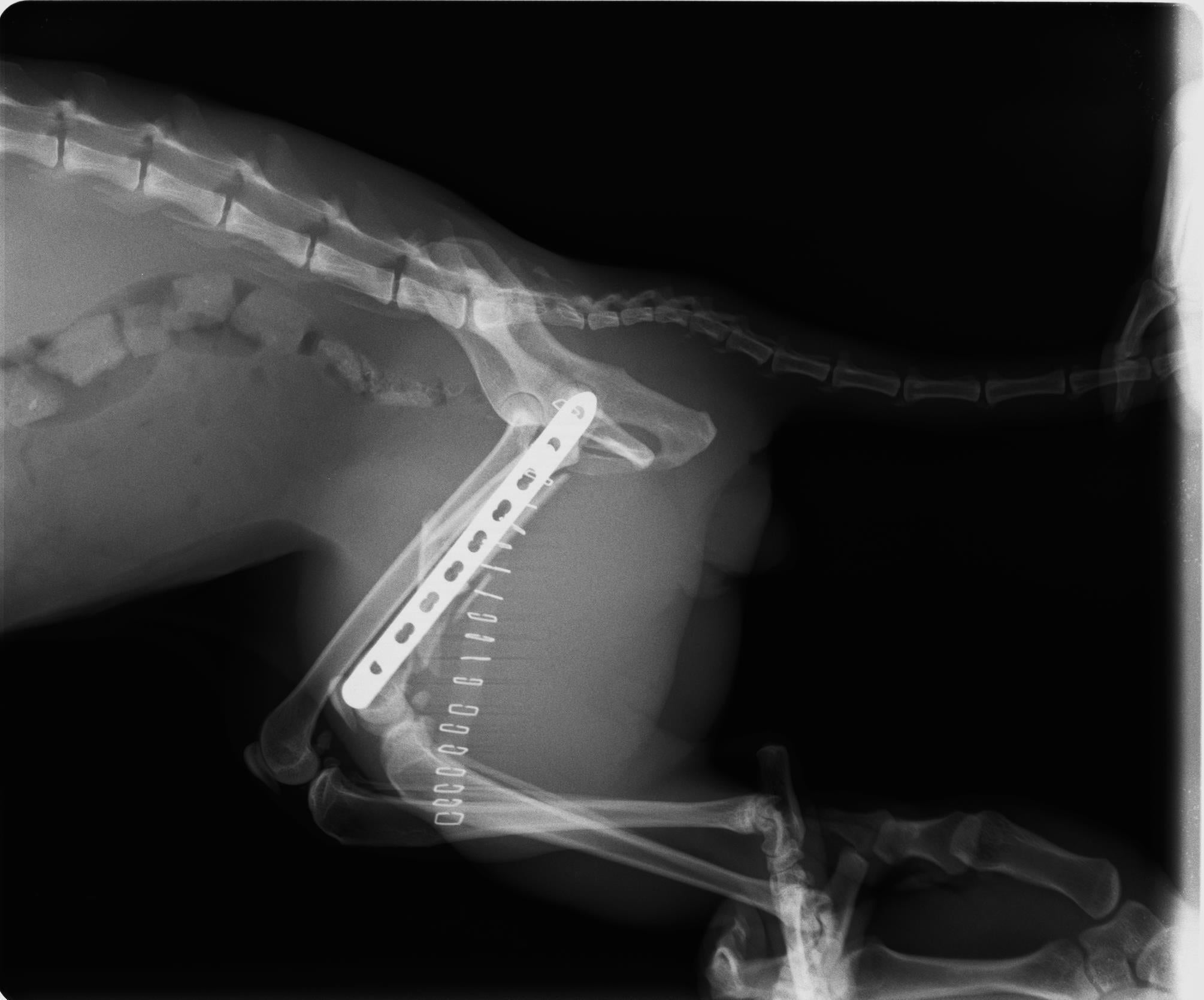
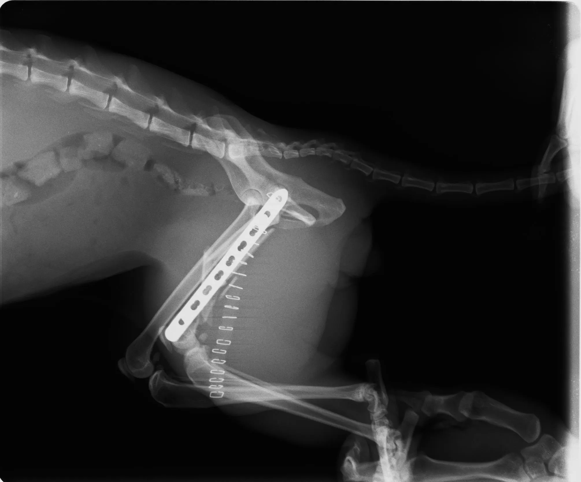
◯左側大腿骨複雑骨折
◯肺挫傷
◯腎臓機能の低下、腎不全の疑い
※現在も検査・治療中で腎不全の可能性は極めて低い状態になりました!!
◯排尿障害の疑い ※現在も検査・治療中
ネコちゃんとの出会い
7月18日出先で車にひかれ跳ね飛ばされるネコちゃんを目撃しました。
下半身を引きずり転げ回りながらもなんとか歩道まで逃げてくれたネコちゃん。
直ぐに様子を確認しにいくと息が荒々しく吐血してる状態でしたがまだ息がありました。
最寄りの動物病院に連絡すると現場に来て下りそのまま病院で診察する事に。
この時点での診断結果は
◯骨盤骨折
◯左側大腿骨複雑骨折
◯肺挫傷
です。
幸いにも肺の破裂は免れ最悪の事態は逃れましたがショックによりかなり憔悴し、ぐったりしていたのでこのままでは明日を迎えられるかわからないと告げられました。
応急処置の治療を行い、手術をするのか
それとも、安楽死を選択するのか
仮飼い主として決断を迫られました。
手術費用はかなり高額になり保険も適応されないのもこの時点で理解していました。
先生に「治療をすればこの子は助かりますか?」と聞くと
「肺の出血はこの子自身の治癒力で自然に止まるのを待つしかないけど、
出血が止まってくれれば十分良くなる可能性はある。
また骨盤が骨折して歪んでしまっているので、
排便ができない可能性がありそれが一番生命に関わってくる。
なので生きるためには手術は必須になる」
と言われました。
少しでも可能性があるなら、この子が元気になってくれるならできる限り治療をしてあげたい。
4本脚で歩くのは難しいかもしれないけど、せめてまた自分の脚で歩けるようになって欲しい。
辛そうに横たわるネコちゃんをみて心の底から願いました。
なによりまずは痛み止めで痛みを軽減してあげたい。。
この子を、見放してこのまま安楽死なんて選択は考えられなかったので治療を行う事に同意しました。
その後、大腿骨複雑骨折の手術は無事終わり、肺の状態も落ち着き始めて安堵したのですが、
今度は、腎臓の数値が悪い方に向かい腎不全の可能性が出てきました。
排尿の量も少なく膀胱に尿が溜まっている状態となり
追加された診断結果は
◯腎臓機能の低下、腎不全の疑い
◯排尿障害の疑い
です。
この時点で腎不全である可能性は極めて高いと告げられました。
しかし、点滴投与が始まり5日程たった頃、腎臓の数値が改善し腎不全の可能性は低い状態まで回復してきました。
現在も入院中で点滴を投与しながらカテーテルで排尿を補助し血液検査で腎臓の経過観察を行っている状況です。
今後の治療は、容態が落ち着いてきたら排尿を促す薬を投与しながらカテーテルを外し、自力で排尿出来る状態まで回復を目指します。
プロジェクトをやろうと思った理由
今回突然の出来事で事故直後の病院でネコちゃんの治療・手術の決断を迫られ、ただ救いたいという一心で後先を考えずに治療を行いましたが、経済的に大きな負担となってしまっています。
予想していなかった腎臓数値の悪化により、予定より入院日数がかなり延びてしまっているというのも大きく、また歩行障害や排尿障害の可能性もまだあるので、退院できたとしても継続的な治療費用がかかりそうです。
現実的にかなり厳しい状況なのですが、ネコちゃんが元気に暮らせるように必要な治療はさせてあげたいです。
私は難病を患っている事や初めての育児という事もあり働くことが難しく専業主婦をしています。夫ひとりに頼っている状況で、すでにいるわんこにかかる費用や、娘のこの先のことなどを考えると、家計に重くのしかかってしまっている状況です。
もちろん医療費がかなり高くなるのは予想はしていましたが、事故当時はとにかく元気になってほしくて後先のことは考えられませんでした。
現時点での支払い済みや見積もりがあるもので50万程の費用がかかっており、これからの入院や治療費も含めると総額90万程は必要かと思われます。
そんな中、知り合いやインスタグラムのフォロワーさんへ相談してみたところ、クラウドファンディングでご支援いただく方法を知り、今回立ち上げさせていただく事となりました。
これまでの容態・治療
7/18 事故直後
診断結果:骨盤骨折 / 左大腿骨複雑骨折 / 肺挫傷 / 猫エイズ陽性
この時の診察料、治療は病院が全額負担して下さいました。

7/19 整形外科へ転院
精密検査をし、骨盤骨折は現状維持&要経過観察
左側大腿骨はかなりひどい粉砕骨折だが、プレートを入れる手術を行い四足歩行できる状態を目指し、手術決行
7/20 手術は無事に成功
経過観察のため、引き続き入院

7/21 ご飯が食べられるようになり、傷口の状態なども良好のため退院
しかし、事故後一度も排便をしておらず骨盤骨折により自力で出来ない可能性が懸念されたため、最初に保護して頂いた病院で再入院。
7/22 腎臓の数値が悪化していることが発覚
尿素窒素・クレアチニンが手術前に比べてかなり数値が悪化。
事故の衝撃や手術、抗生物質や麻酔などの薬により腎臓に負荷がかかることで一時的に数値があがっている可能性が高く、点滴をしていただき経過観察する事に。
一過性であれば一日点滴をすれば下がるはずとのこと。
7/23、24 腎臓の数値が更に悪化

日に日に腎臓の数値が悪化し一過性のものである可能性は低くなり、慢性的な腎不全になることが懸念されました。
普通であればこれだけ数値があがってしまうとご飯も食べれなくなるようですが、、元気そうでしっかりご飯を食べてくれてます♪

しかし、24日に発熱。
ぐったりしていてご飯も残すように。。これ以上悪化するようであれば、あと数日で命にかかわってくると告げられました。
7/25 腎臓機能低下の新たな原因の疑惑
排尿の量が少なく膀胱に尿が溜まっている影響で腎臓の数値が悪化している可能性がでてくる。
点滴を投与しながらカテーテルで排尿を補助し腎臓の経過観察を行っている状況です。

7/27 腎臓の数値の回復
カテーテルを行いはじめて、腎臓の数値が改善され安定してきました。
腎不全の可能性は極めて低いとのことですが、引き続き点滴投与、カテーテルを行い経過観察となります。
※7/28 以降の「容態・治療」は「活動報告」にて記載させていただいてます。
資金の使い道
ご支援して頂いた資金は全額ネコちゃんの手術・通院・治療費に使用させていただきます。
骨盤骨折の影響で排尿障害が発症するなど後遺症による病気の治療に使用させていただきます。ご支援いただいた資金を使用するタイミングが遅くなる可能性もございますが、ご理解いただけると幸いです。
♢これまでに支払った費用 464,970円
・左大腿骨複雑骨折 手術・入院費用(7/19〜21)
退院後の内服薬含む 382,140円


・腎臓の数値悪化による入院・治療費(7/21〜25) 82,830円
♢この先2、3ヶ月間でかかる予定費用 概算 436,424 円
・腎臓の治療、排尿機能の治療と入院費(7/26〜2週間前後の予定) 231,924円
21〜25日の入院費を日割りすると、1日あたり 16,566円 ✕ 14日間 と仮定し計算
・退院後の排尿処置(尿道カテーテル治療)の通院費(2ヶ月分) 49,500円
1,650円 ✕ 15日間 ✕ 2ヶ月
※現時点(202007/27)で排尿障害の可能性があるという状況です
・退院後の内科通院費(3ヶ月分)
血液検査、診察代、お薬代など 9,000円✕7回 63,000円
※口頭で説明を受けた為、概算になります。また、容態などで金額は増減致します。
・退院後の整形外科通院費(3ヶ月分)
レントゲン、診察代 7,000円✕6回 42,000円
初月は毎週、2、3ヶ月目は隔週もしくは3週間に毎
※口頭で説明を受けた為、概算になるので金額は増減致します。
・ネコちゃんの生活準備費用 50,000円
ゲージやトイレ、クレートなどの設備費
ノミがかなり寄生していたため、ノミ・ダニ駆除薬
フィラリア検査&予防薬、去勢費用などにあてさせて頂きます
♢CAMPFIRE様にお支払いする手数料 17%(手数料12%,決済手数料5%)
リターンについて
♢1,000円
ネコちゃんの写真1枚とお礼のお手紙をお送りさせていただきます。
また、CAMPFIREの「活動報告」機能を使い治療報告をさせていただきます。
♢5,000円
ネコちゃんの写真1枚とネコちゃんの写真を加工したカード1枚、お礼のお手紙をお送りさせていただきます。
また、CAMPFIREの「活動報告」機能を使い治療報告をさせていただきます。
デザインは↓の①ウェルカムカードを使用し、わんこの写真をネコちゃんに差し替えたものになります。
【サイズ】A5
♢10,000〜30,000円
ネコちゃんの写真1枚とご希望のお写真(わんちゃん、ネコちゃん、お子様など)を使用したオリジナルカード、お礼のお手紙をお送りさせていただきます。
また、CAMPFIREの「活動報告」機能を使い治療報告をさせていただきます。
【サイズ】A5
【枚数】作成するカードの枚数は、ご支援金額毎に以下のようになります。
■10,000円:1枚
■20,000円:2枚
■30,000円:3枚
デザインは↓の① 〜 ⑤ からお選びいただけます。
こちらのわんこの写真をご希望のお写真を加工したものに差し替え致します。
また、カード内の文字も若干ですが変更可能です。
ご入力いただいたメールアドレスへカード作成に必要な情報(お写真、カード内に記載する文字など)の確認のご連絡をさせていただきます。
※本プロジェクトは9月中旬頃の終了となり、終了後リターンのカード作成を着手致します。
ハロウィンまでの時間が少ないため、④ハロウィンカードを選ばれた方を優先してリターンさせていただきます。
予めご了承をお願い致します。
※本プロジェクトはAll-in方式で実施します。目標金額に満たない場合も、計画を実行し、リターンをお届けします。
①ウェルカムカード
②バースデーカード

③コックさんカード

④ハロウィンカード
⑤クリスマスカード
最後に
事故直後憔悴しきっていて、明日を迎えられるかわからないと言われた猫ちゃんですが、一命を取り留め少しずつ回復してきている姿を見て、手術を決断して良かったと心から思います。
今後無事に退院できたあとは、脚のリハビリと排尿障害の経過観察のため我が家で一旦引き取り、しっかり療養させてあげたいと思います。具合が落ち着くのを待って猫ちゃんを可愛がってくださる里親様を探す予定です。
皆様からのご支援とご声援を受け止め、まずは猫ちゃんが元気になってくれるように、家族でしっかりサポートしていきます。
また、ご支援いただいた資金の進捗状況も責任をもってCAMPFIREの「活動報告」機能にてご報告させていただきます。
※本プロジェクトにて使用している画像はすべて掲載権利を所有しております。
最新の活動報告
もっと見る受診のご報告と、真菌治療について
2022/06/09 09:00こちらの活動報告は支援者限定の公開です。昆布の体調についてのご報告です
2021/10/26 13:47こちらの活動報告は支援者限定の公開です。2〜5月 クリニック受診報告
2021/05/12 09:00こちらの活動報告は支援者限定の公開です。






コメント
もっと見る