
はじめまして!現在、北海道札幌市でフリーランスのパーソナルトレーナーとして活動している
笹原 功貴(27歳)と申します。
① 今 ま で の 経 緯
もの心がついた頃から、大学まで野球一筋でした。
【 白老中学校ー苫小牧中央高校ー東京農業大学(オホーツク) 】
大学卒業後は、某大手製パン会社へ就職し、それと同時にトレーニングに出逢います。
体育会系あがりというのもあり、根性論のトレーニングや食事方法
案の定、身体は一向に変わりませんでした(笑)
そこから少しずつ独学(参考書やオンラインサロン)で勉強を始めました。
勉強をしていくうちに…
知識量と身体の変化は比例する事に気付きました。
正しい知識のもと、トレーニングを行い、食事を改善すれば
それは必ず結果として自分に返ってくるものだと。
もし、いま身体作りやダイエットに取り組んでいて、思う様な変化が実感出来ないのであれば、
それは誤った方法、もしくは、自分に合ってない方法を選択していると思います。
何故なら、先ほども言った様に、正しい方法で取り組めば、必ず結果で返ってくるからです。
そして、身体の変化というのは、気持ちを前向きにし、行動はアクティブなものにします。
トレーニングの効果というのは、外見面だけではなく、内面にも働きかけるものだと。
私の今までの経験(トレーニングの素晴らしさ、食事の改善)や知識、スキルを
もっとより多くの人へ伝えたいと思い、某大手パーソナルジムへ転職、現在に至ります。
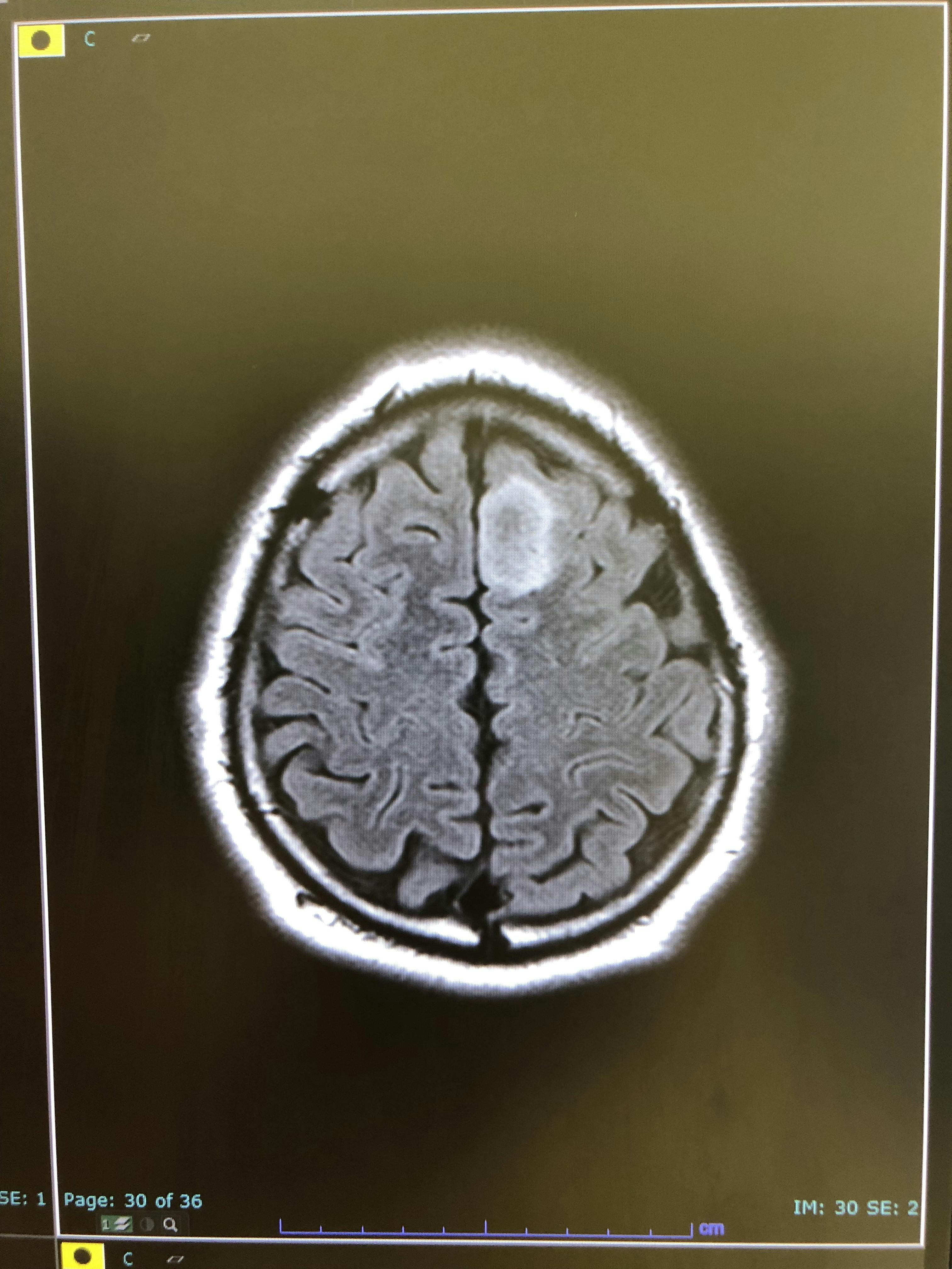
② 大 病 ( 脳 腫 瘍 ) の 経 験
パーソナルトレーナーとして、第2の人生をスタートし、しばらくして…
人生の分岐点と言える経験をします。それが脳腫瘍でした。

いつもの様に、自身のトレーニングをしにジムへ向かい
さあ!トレーニングだ!と始めようと思った瞬間
気を失ってしまいました。(てんかん)
清掃員の方が気づいて、起こしてくれ、
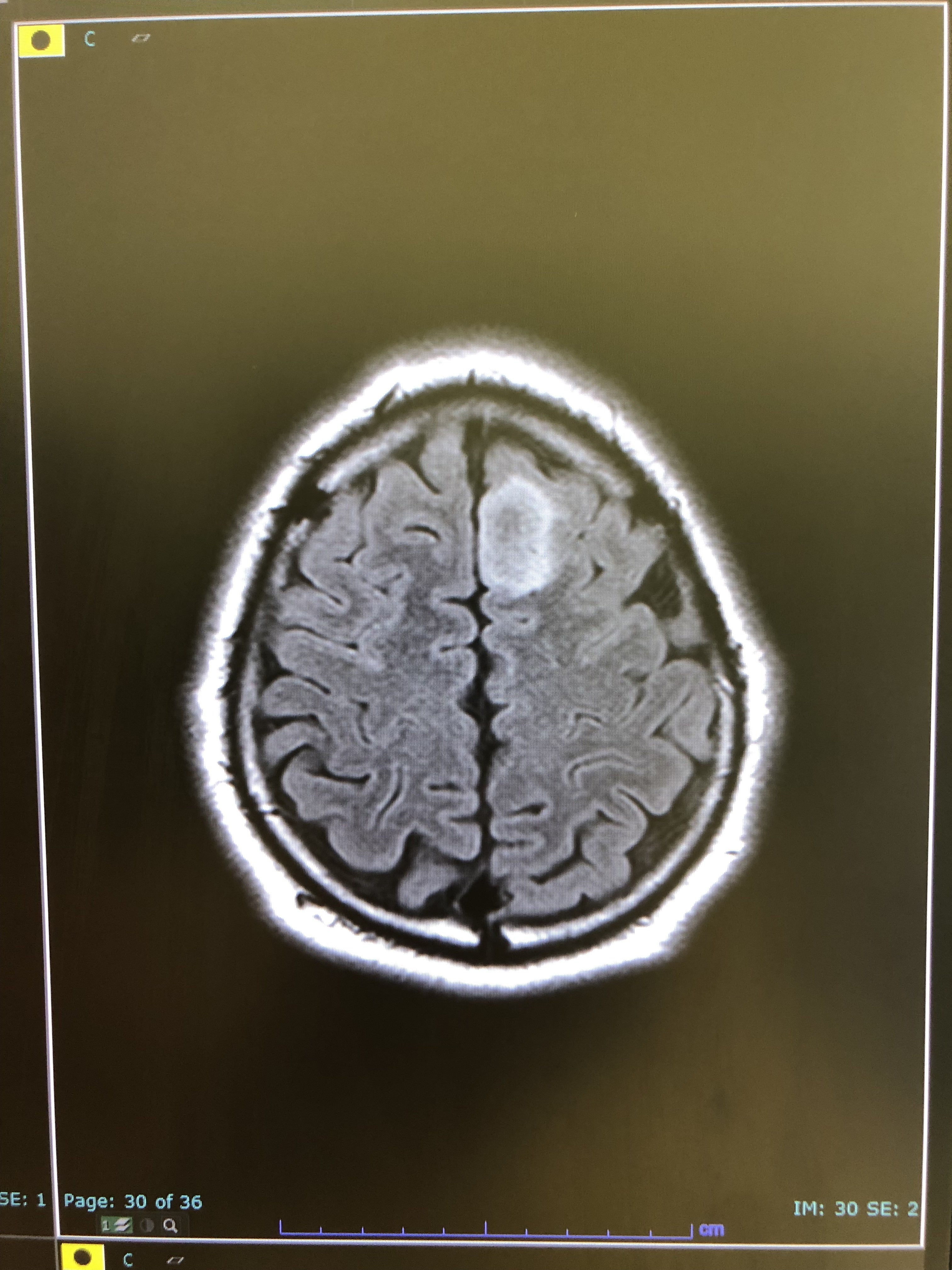
すぐに近くの病院へ行き、MRIを撮ると…
素人目でも「ん?なにかあるな?」と分かりますよね…
気が動転している中で、
すぐに大学病院へ転院手続きがとられ、即入院。
長くなるので、割愛しますが…
先ほど…「人生の分岐点」と言いましたが
約4ヶ月の入院生活は私にとってかなり大きい経験になり、数多くのヒューマンドラマがありました。
トップ画像から動画に飛べます。
病気のことについて少し触れている部分があるので、もしよろしければご覧ください。
もっと聞きたい方は個別でご連絡しますので、ご連絡くださいませ。
③ 個 人 的 な 想 い
冒頭のPVは私の想いを詰め込んだ宝物です。まだ見ていない人は是非、ご覧になって頂きたいです。
ナレーションでも語りかけているように、昨今のコロナウイルスにより
「本当に必要なもの」というのが、浮き彫りになったような気がします。
その1つとしてあげられるのは、「健康」ではないでしょうか?
重ねて、私の脳腫瘍という経験から…「健康はお金では買えないもの」と改めさせられました。
①「運動、トレーニングをすること」
②「食事を見直すこと」
この2つは大方、「やらないより、やった方がいい」と答えると思います。
私のジムではそのマインドを「やるべき事」という水準まで引き上げていきたいと考えています。
上記の点から、私のジムのコンセプトの1つは…
【「美」というのは、「健康」の上にある】を掲げて活動していきたいと考えております。
④ 神 様 は 不 平 等 ? !
「いやいや、笹原さん…あんた、身体に気をつけてたけど、病気になったじゃない…」
はい、その通りです。
私は今までタバコは1度も吸った事もなく、お酒も付き合い程度、
食生活にも人一倍に気をつけ、
運動は小さい頃から大学まで野球をし、社会人になってもトレーニングで人並み以上にやっていました。
そんな経緯を辿ったにも関わらず、お医者さんに言われたのは…
「このサイズならきっと、だいぶ前からあったと思うな〜」でした。
少し周りを見渡してみれば…
明らかに不健康なライフスタイルを送ってる人でも、
人間ドックなどの精密検査は全て以上なし、むしろ健康体。そんな人は少なくないですよね。
どんなに身体に気を遣った生活を送っていたとしても、
「なる人はなる」「ならない人はならない」これが私の結論です。
「神様っていないよな…不平等だな…くそ」と正直、どん底に陥りました。
しかし、「人生の分岐点」とも言える、入院生活で徐々にパラダイムシフトし、
退院後に、とある人に言われた言葉がすごく共感し、救われたのを今でも覚えています。
「神様がいたから、いま何も不自由なく生きてるんだよ」
手術のリスクとして…
・人格の変化
・記憶障害
・言語障害
・右半身の麻痺
などが挙げられましたが、特にそういった後遺症は現在ありません。
以前のようにトレーニングも出来るようになりましたし、社会復帰も果たしました。
私が患った疾患の発症率は100万人に数人の割合のようです。
そんな確率を引いたんだから、宝くじも当たるだろ!と、その年の年末ジャンボ買いましたが…
全て外れました…とほほ。
冗談はさておき…
⑤ 人 生 1 0 0 年 時 代 !!!
先ほど、「なる人はなる」と記載しましたが…
運動と食事改善により、糖尿病をはじめとする生活習慣病を予防できることは
統計学的にも分かっています。
そして、慢性的な腰痛、膝痛というのは、大半は筋力不足が起因とし発症します。
医療の発達により、現代は「人生100年時代」とも言われていますよね。
そんな現代で重要とされているのが「健康寿命」です。
何歳からでも、筋肉は成長することも色々な研究から分かっています。
今から「貯金」ではなく、「貯筋」をして、人生100年時代に備えましょう!!
そして、私が掲げる目標の1つとして…介護予防・医療逼迫の軽減、医療費の削減があります。
介護予防・医療逼迫の軽減に関しては…
入院生活でわたし自身が、ドクターや看護師さんの多忙さを目の当たりにしてきました。
仕事だから仕方がない点は確かにあると思いますが、
個人が病院にかからなければ、お互いが得をするはすです。
また、医療費の削減に関して…これは国の課題ともいえるのではないでしょうか?
健康体でいるから、働くことが出来ます。
お金を生み出す事ができます。
経済を回す事ができます。
全ては健康だから出来る事なのです。
一個人が健康でいるという事は、本人のみならず、その人が思ったより遥かに多くの人たちを
巻き込むことが想像されますね。

⑤ わ た し の 使 命
きっと、日本中探しても…脳腫瘍から復活したパーソナルトレーナーは唯一無二の存在かと思います。
そして…この経験は絶対に世の為、人の為に使わないといけない、と思いました。
そういった想いから、今回のプロジェクトを決意致しました。
⑥ ス ケ ジ ュ ー ル
3月オープンを目処に都内・自由が丘(自由が丘駅から徒歩3分)に準備を進めています。
テナントの契約は終わり、現在は機材の選定や床材、鏡などの準備を進めています。
⑦ 使い道
ファンドで得た資金については、大小に関わらず、手数料を除き、全て運転資金や
設備投資と考えています。
希望額の150万を達成した場合…
手数料(10%):15万円
リターン費用 :約30万〜50万(全て¥25,000だった場合…約324,000円)
⑧ 最後に…
コロナ禍の中、ジムのオープンはきっと厳しい道のりになるかと思います。
しかし、私は同じ病気の方々に勇気や希望を与えたい。
また、病気や何かしらの理由で挑戦する事を諦めてしまった人たちへ希望を届けたい。
綺麗事に聞こえるかと思いますが、大真面目です。
そして…
現代はパーソナルジムが数多くあり、どこがいいの?と悩まれる方が多いと思います。
正直に申し上げて…「しっかりと勉強をしている」トレーナーなら
どこのジムも基盤となる指導は変わりません。
貴重な時間、お金を無駄にしない為にも最初のジム選び、
パーソナルトレーナーの選定はかなり重要かと思います。
色々な点を加味して、私は…「人」で選ぶべきだと考えます。
私で良ければ、気軽にご相談ください。
支援するしないにせよ、Instagramにて日々発信していきますので、
もし良ければ、ご閲覧くださいませ!
Instagram ID 「 kohki926 」
私は人と人の繋がりを大切にしています。
同じく支援するしないにせよ、何かご相談や、気軽に話したいなど
用途は何でも構いません。
気軽にご連絡ください^^
LINE ID 「 kohki.26 」
最後までお読み頂き、ありがとうございます。
なかなか自分の想いというのを文章にするのは難しいですね^^;
少しでも共感して頂けたのであれば、幸いです。
ご支援のほど、宜しくお願い申し上げます。
笹原 功貴
最新の活動報告
もっと見る
ジムが完成しました!
2021/03/15 09:54ジム内はこの様な感じとなっております。おかげさまで、オープンする事が出来ました。本当にありがとうございます! もっと見る
北海道新聞に載りました!
2021/01/30 12:452021年 1月30日(土)北海道新聞に載せて頂きました。 もっと見る









コメント
もっと見る