初めまして。都内で歯科医師をしております、大澤 広晃(オオサワ ヒロアキ)と申します。
一般歯科を担当しています。特に、歯みがき指導を中心にした予防処置に重点を置いております。

この光る歯ブラシを一人でも多くの人に手に取ってもらい、みなさんの"歯ブラシタイム"が毎日楽しくなればと思います。最初は、何かのタイミングでピカピカ光る歯ブラシと思ってもらうだけで結構です。
その先には、歯みがきの最中に"磨き過ぎ"を知らせる光であり、それを意識することにより、出血の減少や知覚過敏症状の軽減を感じる方がいれば、最高の幸せです。

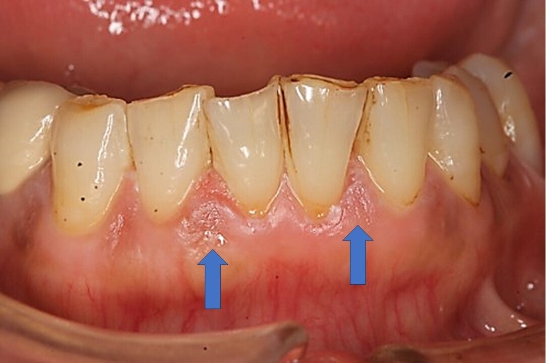
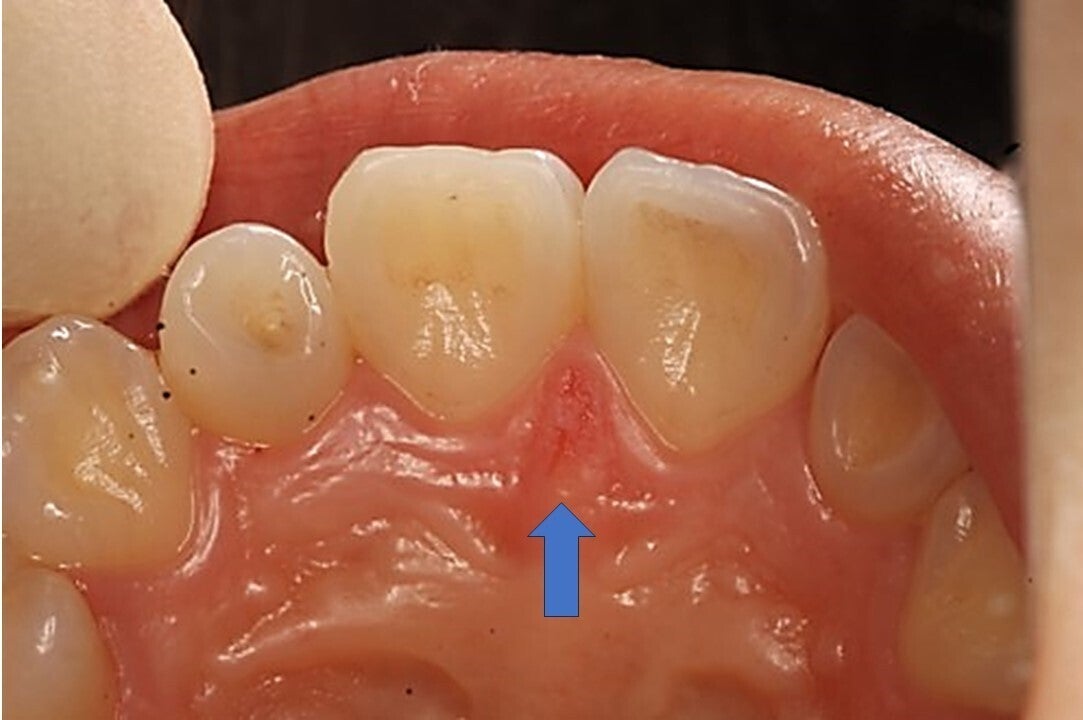
歯ブラシが原因と思われる傷
自分では見えない部分 やり過ぎになってしまう

開業以来、日々の診療の中で、磨き過ぎが原因と考えられる方が多数、来院されます。虫歯も無い、歯周病も無い、しかし、違和感や症状を訴える方がたくさんいらっしゃいます。
よく観察すると、歯ぐきに小さな傷があり、磨き過ぎが原因ではないかと考えました。それから辛抱強く歯みがき指導を行っていくと、大きな処置をしなくても、症状が軽減される方が増えていきました。
すべての方ではありませんが、小さな感触だったようなものが積み重なって、確信になり、指導を中心とした予防処置を行うようになりました。

しかし、診療所の中だけの指導では、実際に患者様が家に帰ってからの歯みがきは分かりません。
そこに限界を感じ、実際に診療所の外に出て、患者様の家に届けることの出来る、磨き過ぎ防止歯ブラシの製作や本の出版を思いつきました。
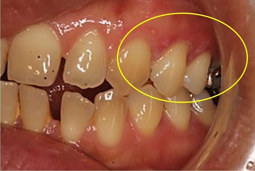
右利きの人は左側が磨きやすいので強くなる傾向がある
着色を取ろうとして毎日磨いたため
歯ブラシや本ならば、診療所の外に出て、実際歯みがきをする家に届けることが出来ます。指導だけに限界を感じていた時に、これなら希望を持てると思いました。
約5年前、歯ブラシの製作を、全国の色々な業種の方に手紙、メール、電話、訪問をしてお願いをしました。しかし、自分と同じ熱い思いで製作をして頂ける業者様には辿り着きませんでした。製品化しても利益の取れる商品と考えられなかったためだと思います。
また、本の出版も同時に進めました。幻冬舎ルネッサンスにお願いをして、絵本を出版することになりました。その折、コロナウイルスの蔓延となり、一時中断となります。人との接触が出来なくなり、個人では、どうすることも出来ませんでした。
2021年になり、コロナが落ち着いてきた夏頃より、再開しました。
約1年をかけ、幻冬舎ルネッサンスより「こどもがよろこぶナイショはみがき」を2022年6月に刊行することが出来ました。この本は、子供の仕上げ歯みがきを頑張りすぎている親御さんに、もっと親子で楽しく歯ブラシをしましょう!という内容です。大人の”磨き過ぎ”と同じ方向性の内容です。歯みがき嫌いのお子さんのお父さん・お母さん!絶対に虫歯にさせないという思いで、強く磨き過ぎていませんか?適切なブラッシング圧であれば、気持ち良~いと思います。もし痛くなければ、毎日、自然と膝の上に来てくれるはずです。
歯ブラシのやり方を書いたので、本を脇に置いて親子で楽しく歯みがきをしてみて下さい!
Amazon・楽天市場で購入可 1,650円(税込)
絵本の紹介1
絵本の紹介2
歯ブラシ製作ですが、以前と同じ思いはしたくありませんでした。
まず、地元の信用金庫に相談したところ、(一般社団法人)発明学会を紹介され、(一社)発明学会から(株)スリーエー高野様をご紹介頂きました。
今回は、自分の理想が、何とか試作品の完成まで辿り着きました。これは、高野様のご尽力によるものです。試作品を初めて手に取った時、今までの苦労もあり感慨深かったのと、これならば、是非、多くの人に届けたい!という思いを強く大きく持ちました。


応援して頂いた資金は、歯ブラシの製作からクラウドファンディングまでに掛かる費用に全額使わさせて頂きます。



「光る歯ブラシDRO-01」は、”ホワイト”、”ブルー”、”ピンク”の3色があります。
着脱式の替えブラシも、選択した本体と同じ色になります。
パターンは全部で6通りあります。
パターン決定後に3色の中から歯ブラシの色を選択して頂きます。
ご紹介します。
パターン1
光る歯ブラシDRO-01(3色から選択)1本と替えブラシ1本のセット … 2,000円(税込)


パターン2
光る歯ブラシDRO-01(3色から選択)1本と替えブラシ2本のセット … 2,200円(税込)


パターン3
光る歯ブラシDRO-01(3色から選択)1本と替えブラシ4本のセット … 2,400円(税込)

パターン 4
光る歯ブラシDRO-01(3色から選択)1本と替えブラシ1本と絵本1冊のトリプルセット … 3,600円(税込)


パターン 5
光る歯ブラシDRO-01(各色選択)2本と替えブラシ2本のダブルセット … 3,800円(税込)


リターン 6
光る歯ブラシDRO-01(各色選択)2本と替えブラシ4本のダブルセット … 4,200円(税込)


<リスク&リターン>
※本商品は1年間の保証となります。消耗後は電池の交換はできません。
※本プロジェクトを通して想定を上回るご支援を皆様から頂き、現在進めている環境から更に量産体制を整えることができた場合、正規販売価格が販売予定価格から下がる可能性があります。
※無事製品をお届けできるよう、スケジュールを整えていますが、天災やコロナ禍などの影響により、製造や物流に影響が出た場合は、スケジュールに遅れが生じてしまう可能性があります。
※本体の色については試作品の段階の予想図です。
※デザイン・仕様は、変更になる可能性があります。ご了承ください。
※返品・交換は原則受け付けておりません。ただし、商品に欠陥があった場合には、返品・交換をさせていただきます。




(一社)発明学会は、同会会員の主婦が考えた『初恋ダイエットスリッパ(売上総額70億円)』をはじめ、多くのヒット商品を輩出してきた、個人による発明事業化を支援する公益法人です。
同会は、発明学会 会員によるクラウドファンディングの挑戦をサポートするため、CAMPFIREと業務提携を行い、同会の審査に通ったプロジェクトに同マークを付与し、支援しています。
今回、クラウドファンディングに挑戦する『光る歯ブラシ”DRO-01”』が、審査の結果、発明学会クラウドファンディング推薦作品として認められました。
・発明学会「発明クラウドファンディング サポートプロジェクト」
https://www.hatsumei.or.jp/hcf-sp/index.html#pr

本当に良い物が出来たと確信しております。
こんな歯ブラシがあったら、毎日楽しいと思います。
歯科医の立場から、歯みがきは”歯面の汚れを取ること”が目的です。着色や歯石を取ることや、歯を白くすることが主目的ではありません。汚れが無いのに長時間やるのは、やり過ぎです。やり過ぎてもダメ、やらな過ぎてもダメ。”丁度良い適度な歯みがき”は、人それぞれ違います。握る力、生活習慣、性格、歯の本数、生え方、回数、時間…、皆違います。たった一つのやり方に集約するのは難しいです。
歯みがきが上手な方は、どんな歯ブラシでも上手く磨きます。「弘法、筆を選ばず」。電動歯ブラシや子供用歯ブラシ、ホテルの歯ブラシでも、自分なりの工夫をしながらどんどんキレイに磨きます。うがいも上手です。大切なのは、”自分に合った磨き方”を見つける事です。この”光る歯ブラシDRO-01”は、その助けになると思います。光らせないようにキレイに磨くのは、案外難しいですよ!是非、トライしてみて下さい。この歯ブラシで”力の感覚”を身に付けて、他の歯ブラシで磨く時にそれに近づくようにしてみて下さい。
心配な方は、歯科医院で磨けているか、磨き過ぎていないか、定期的にチェックしてもらうと良いと思います。

歯みがきは、人前でやるものではありません。特別な事ではないのです。生活の一部、家で行う”習慣”です。食事も習慣です。毎日の家のご飯に、外食のような豪華さは要りません。歯みがきも、普段の家のご飯のように、飾らず、粛々と毎日続けて下さい。その先に、人と違ってよいので、自分に合った磨き方を見つけて下さい。今日のご飯を思い出しながら、歯みがきして下さい。磨き方が変わります。頑張りすぎないこと!
世界中の人に”DRO-01”を使ってもらいたい!
” さぁ レッツ 歯みがき‼ ”

<募集方式について>
本プロジェクトはAll-in方式で実施します。目標金額に満たない場合も、計画を実行し、リターンをお届けします。
最新の活動報告
もっと見る”光る歯ブラシ” 完成間近です
2024/03/14 21:57”光る歯ブラシ”大変お待たせしております。当初の予定より、少し遅れていますが、現在、サンプルの最終確認の段階に入りました。スイッチの構造が変更されたため、感度や素材などの確認に時間が掛かかりました。また、替えブラシも通常の「M」と女性や子供向きの「S」も準備することにしました。替えブラシは両方のサイズを試して欲しいので、両方のサイズをお届けする予定です。パッケージの通りです。最終確認が終わり、発送が決まりましたら、ご連絡いたします。今しばらく、お待ちください。今後ともよろしくお願いいたします。 もっと見る
歯ブラシ本体の形状を一部修正します!
2023/12/14 22:23光る歯ブラシ”DRO-01”応援して頂いて、誠にありがとうございます。タイトル通り、本体の一部を変更します!変更は添付の画像の通りです。現在は、本体断面が完全な球状で、平らな場所に置くと、どこまでも転がってしまいます。高い所から落下すると、破損・故障に繋がるため、本体の尾部を”ブーツ状”にして対応することにしました。完成まで、もう少しお待ちください。今後ともよろしくお願いいたします。 ハミガク 大澤 広晃 もっと見る






コメント
もっと見る