はじめに・ご挨拶

茨城県水戸市平須町にて開業している宮内歯科医院でございます。
初代開業から91年、当方で4代目の歯科医師となりました宮内秀人と申します。
この度、歯科業界・美容業界に思うところがあり今回のプロジェクトを思いつきました。
このプロジェクトで実現したいこと
ホワイトニングはあそこのサロンでハイフとエステはここのサロン、たまに行くボトックスはあっちのクリニック。
値段やサービス、人柄でお店を決めるのは非常に重要ですが、これらの店舗が情報を共有することはなく、施術を受ける側が自己管理をする必要があります。
確かな効果がある施術なのか、どのように処置を行うと更なる満足を得られるのか、探りながらサロンやクリニックを転々とする『美容難民』が非常に多く見られます。
この流れを打開すべく2022年から歯科医師という顎顔面領域のプロフェッショナルによる審美・美容に特化した診療部門を立ち上げました。
とはいえ、まだまだ認知度は低く私の理想とするところまでは遠く及びません。
このプロジェクトを通し、安心して通える・確かな知識と技術による・顎顔面領域に特化した究極のエステサロンを作りたいと考えています!
プロジェクトをやろうと思った理由
セルフホワイトニングや肌質改善など歯科医師の目線からすると確実に効果があるのか、満足していただけるのか疑問を持つサロンが多いように感じる日々の中
患者様からの疑問や質問に多く答えていたところ自身で施術をしてみてはどうかと提案していただいた事がキッカケで宮内歯科医院に美容部門を新たに設立しました。

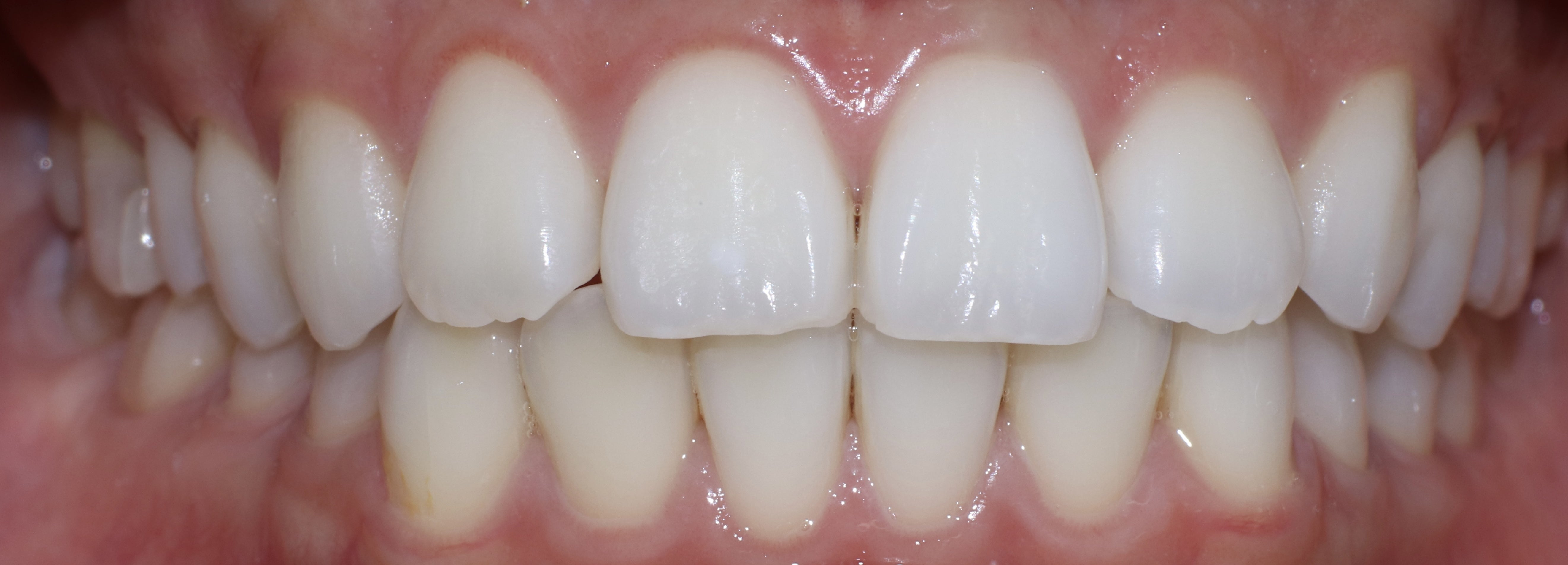
歯は究極のアンチエイジングというように、歯のあるなし・歯の白さ綺麗さはどのような美容行為よりも若く見えるという点において確実な効果があります。
しかし、歯科医院では審美治療はしても美容行為まではしてくれないところばかりです。
私は、『歯』だけしか見ない歯科医師ではなく、『歯と顔全体のバランス』を調和させた総合的な美容審美が行えるクリニックを作りたいのです。
当医院は、女性の患者様が非常に多いため、施術に対するフィードバックをしていただける環境下にありましたが、知識・技術の面ではまだまだ改良の余地があり、更なる向上を目指してこの度のプロジェクトを思いつきました。
個人のこれまでの活動
茨城県水戸市出身
県内の高校を卒業後は、家賃が安く茨城県へのアクセスが良いと理由で東京都足立区へ、西新井のアリオによく行ってました。
吉野家、佐川急便、足場のバイトをしながら駐車場を借り、趣味のバイクや車の整備をしていました。
しかし、軒先に放置されているバイクが多いことに気がつき、古物商を取得後ナンバープレートを役所に返却するかわりに不動車となったバイクを引き取る事業を始める
事業が次第に大きくなり原付から始めた中古車売買が欧州車を取り扱うようになるまでに成長し、駐車場の確保が問題となったため、埼玉県三郷市にあるガレージハウスへと引っ越す
その頃は日暮里にある輸入車専門の整備工場で勉強させてもらいながら、休日や夜は自宅のガレージで整備や販売を行い、忙しくても充実した日々を過ごしました。

ヤフオクなどに中古車が増え個人売買で車を買う事が当たり前になってきたのもこの頃で、保証を求めてディーラーで新車を買う人と、個人売買でとにかく安く買う人がよりはっきりと別れたように感じます。
この時期から中古車販売業に暗雲を感じ始め、自分の好きなことから
『自分が誰かのために役に立てること』
について考えるようになりました。

自分の長所はなんだろうと思った時に、
『手先の器用さなら誰にも負けない』
と考え、実家の家業を継ぐことを決意し、秋のAO入試に向けて仕事の合間に数学や英語、小論文の書き方を勉強し始める。
一番学費の安かった私立歯科大学を受験し無事に合格。
入学金や学費を支払うため愛車を全て売り、未知の土地であった長野県塩尻市へ単身移住
学生生活を有効に使うべくゴルフ・釣り・キャンプを始め、長野県の自然を満喫しながら資格や免許を取得する
ゴルフのベストスコアは70になり大会などに出場しました。

6年間で歯科医師免許を取得後は、ファイナンシャルプランナー・狩猟免許・アマチュア無線を取得し地元茨城へ帰郷
筑波山から降りてくる猪からお米を守りつつ、休日は愛犬の散歩や釣りなどをしています。
2022年4月から税金面や雇用面の改善を行いつつ、インプラントやセラミック治療・ホワイトニングへの取り組みなどによって半年間で歯科医院の純利益を44%向上させる
保有資格
・歯科医師免許
・小型特殊船舶免許
・小型船舶2級
・ファイナンシャルプランナー
・第一種狩猟免許
・アマチュア無線3級
・ワイン検定シルバークラス
・世界遺産検定2級
宮内歯科について
・E-park歯科ネット予約対応店(ネット予約新患数エリア最多実績)
・ホットペッパービューティー掲載店
・カード決済可能な診療所

・茨城県内唯一のティースジュエリー装着可能店
・茨城県内初HIFU導入歯科医院
・茨城県内初ボトックス・ヒアルロン酸注射取り扱い歯科医院
・GC社ホワイトニング剤『Tion』取り扱い店
・ウルトラデント社オフィスホワイトニング・SYOFU社オフィスホワイトニング施術ケース多数
・ジルコニアセラミック多数歯同時治療施術ケース多数
・ドイツ製インプラントメーカー ALTA-DENT社製 CAMLOGインプラント 取り扱い店
2022年6月宮内歯科美容部門開設後、インプラント・セラミック治療、オフィス・ホームホワイトニング、ハイフ、ボトックスヒアルロン酸注射など顎顔面領域を中心とした審美・美容治療を専門に行う
資金の使い道
集めた資金は以下の費用・手数料に補填させていただきます。
材料費・設備費:約20万円
人件費:約30万円
送料:約1万円
CAMPFIRE掲載手数料・決済手数料:約4万円
リターンについて
2023年5月末 クラウドファンディング終了
2023年6月 ハイフの場合:順次予約案内のメールを送らせていただきます。(ハイフは予約案内メールが送信されてから2ヶ月以内が施術期限となります)
歯ブラシ・歯磨き粉の場合:順次発送させていただきます。
HIFU(ハイフ)とは?
高密度焦点式超音波療法といい、超音波の振動による熱によって肌を内側から引き締めることが可能な処置になります。
外科的処置を行わないリフトアップにおいては最も効果が高いです。
◆ハイフについて
虫眼鏡を太陽の下にかざしていると熱が集まることが想像できますか?
その原理がハイフに搭載されています。
お肌表面にはダメージを与えずに、高エネルギーの超音波を一点に集めて、お肌の深部の決まった深さに確実に熱を与えていきます。
約75℃くらいであり、脂肪がしっかりと溶ける温度です。
お顔の場合、深さの違うカートリッジを使い分けて皆様のお顔に合わせてデザインしながら丁寧にアプローチしていきます。
深さによってどのような効果が期待できるかをご説明します。
◆1.5mm
シワや毛穴など表皮にアプローチします。
目元やおでこなど、皮膚の薄い部分に使用します。
目元やおでこに細かく打ち込むことで、目元や眉毛が引き上がり、目力がアップします。
目の周りの血流が良くなるので、目が軽くなったり視野が明るくなるなど、眼精疲労の改善も期待できます。
◆3mm
真皮層へアプローチします。
真皮層は、コラーゲンやエラスチンなどお肌の潤い成分を作り出したり、お肌の弾力を司りお肌の土台になる部分です。
そこへ75℃くらいの熱を届けダメージを与えます。
人間には自然治癒力が備わっているので、ダメージを受けることで修復しようとして、毛細血管がたくさん伸びてきて栄養分がたくさん運ばれることにより細胞が活性します。
よって、コラーゲンやエラスチンなどの大事な成分をいつもよりもたくさん作り出します。
そうすることで、次にできてくるお肌の状態が以前よりもとても良くなります。
毎月繰り返すことで、よりしっかりと自分で潤うことができるお肌へと導きます。
ニキビ跡や乾燥、シワや毛穴、たるみなどの気になるお悩みが改善に向かい、弾力のある美肌に生まれ変わっていきます。
◆4.5mm
筋膜層へアプローチします。
熱したフライパンにお肉を置くと、ギューッと引き締まり小さくなる様子が想像できますか?
筋膜層に熱を与えるので、お顔の深層部で同じようなことが起こり、ギューッと引き締まることでリフトアップや小顔へと導きます。
引き締まることで毛穴もキュッと引き締まります。
たるみが気になる方、小顔になりたい方は細かく打ち込むことでより効果アップします。
4.5mmの後に3mmを打ち込むことで、小顔&リフトアップ効果が倍増します。
◆13mm
脂肪層へアプローチします。
脂肪が溶けてドロドロになり、血液に再吸収された後、30日程かけて少しずつ老廃物として身体の外に排出されます。
施術直後よりも、老廃物が排出されながらどんどんすっきりしていきます。
どの部位の施術でも、施術後はたくさんお水を飲んで老廃物を外に排出することを意識されると、より効果アップします。
施術当日は、思った以上に深部に熱が入っているので、サウナや岩盤浴、長風呂や激しい運動は控え、お水をたっぷり飲んでください。
次の日からは、お水を飲むことはもちろんですが、ゆっくりお風呂に浸かったり、リンパマッサージで流したり、適度な運動をしたり、老廃物を外に出すイメージでお過ごしください。
今日がマックスではなく、日に日にさらに良い状態になっていくのがハイフの特徴です。
楽しみにして施術後もお過ごしください!
まずは細胞が生まれ変わる120日を目安に、1ヶ月に1回、トータル4回しっかりと施術を受けてください。
回を重ねるごとにますますの効果をしっかりと実感していきますよ。
まず4回、それが美への一番の近道と言われています。
出力の違いによって医療用と美容用の2種類がありますが、当医院では施術時の負担の少なさ、正しい解剖学的知識があれば照射のテクニックによって少ない出力でも確実に効果が得られる点から美容用ハイフを導入しています。
※HIFUの施術は有資格女性スタッフが行います
・話題のHIFUを気軽に試せる! お試しプラン ¥8,000
HIFU 顔全体 施術1回
・HIFUの効果をたっぷり満喫! デコルテプラン ¥30000
HIFU 鎖骨上から首、顔全体(デコルテを出すのに非常に有効です)施術3回分
×HIFUのができない方
・医療用電子機器を使用されている方 心臓、肺、腎臓病など病気をお持ちの 方
・急性疾患、 結核症疾患、 有熱性疾患、 伝染病疾患、 感染疾患の方
・糖尿病、原爆症の方
・憂鬱性心疾患及び神経性疾患の方 悪性腫瘍 AIDS/HIVの方
・甲状腺疾患 血友病疾患、 敗血症の方
・皮膚疾患及び皮膚感染症の方
・膠原病等医療特定疾患の方
・肝機能障害 血液凝固障害の方 血圧異常時
・顔面黒皮症の方
・メニエール病の方
・ケロイド体質の方
・ホルモン治療をされている方
・病気で通院中の方、 または体調の悪い方 (疲れ、寝不足、 熱など) 薬を服用している方、 または使用している方
・てんかんの既往のある方 アトピー性皮膚炎など痒みの出やすい方
・ステロイド系ホルモン剤の長期使用や、 肝臓機能障害で毛細血管拡張を起こしている方
・アルコールを帯びている方 (二日酔いを含む) カユミやホテリのあるシミ、 物理的刺激等による病的なシミ、アザがある方 妊娠中、授乳中、 出産後生理が2回未満の方、 または妊娠の可能性がある方
・ヒアルロン酸やボトックス注射をしてから4週間経過していない方
×トリートメントが出来ない部位
・頭部
・臀部
・骨の上
・眼球、瞼及び目の周り
・ ウイルス性イボ (ヘルペス、 水疱など)
・外科手術等の部位
・粘膜 (唇など)
・湿布などを貼っていた部位
・美容整形部位 (異物が入っている人)
・日焼け直後の肌
・刺青タトゥ
・脱毛 剃毛の直後の部位
・矯正や体内へ金属を埋めこんでいる部位
・特に肌が敏感な部位 脂肪が15mm未満の部位 ※ トリートメント可能部位に限ります
・ケガや火傷、 切り傷がある部位
・ケミカルピーリング (AHA)、 トレチノインなどを使用中の部位 (3週間)
・ニキビや吹き出物が化膿し、炎症を起こしている部位
・アレルギー体質で特に炎症を起こしている方、及び皮膚トラブルを起こしている部位 前回のトリートメントから1ヶ月以上期間が空いていない部位
ホワイトニング・HIFUの施術を受けるにあたり、 その内容・実施に伴う可能性、その他の可能性を 充分に納得し了解した上でのご支援をお願いいたします。
最後に
現在、茨城県で開業している歯科医師はどんどんと高齢化が進み、新たな治療よりもやり慣れた治療を優先させてしまいがちです。医療も美容も日進月歩であり勉強をし続け、技術の研鑽をしなければなりません。
私は、『やると決めたらとことん追求する人間』なので、自分の持てる全てを使い、新たな分野の確立をすることで歯科業界・美容業界双方に新しい流れを作りたいです!
<募集方式について>
本プロジェクトはAll-in方式で実施します。目標金額に満たない場合も、計画を実行し、リターンをお届けします。




コメント
もっと見る