自己紹介
はじめまして。貫井孝雄と申します。約12年前、悪性脳腫瘍「小児脳幹部グリオーマ」(DIPG)という病気で、当時6歳の一人娘を亡くしたのをきっかけに、「小児脳幹部グリオーマの会」という患者家族コミュニティーを立ち上げました。以来、患者家族のネットによる情報交換や病気解説書の刊行、他の支援団体と協力しての政府・行政への誓願活動、啓発イベントの開催、レモネードスタンド等のチャリティー活動などを継続して行なっております。残念ながら、未だこの病気の厳しさは変わりませんが、昨今、私たちだけではなく、DIPG経験者による小児がんの支援団体も増え、日本各地で活発な活動が行われている事に、大きな希望を感じています。
第一回 小児脳幹部グリオーマシンポジウムの開催に協力(2016)
各地のDIPG支援団体とレモネードスタンドを開催し
寄付先のJCCGから感謝状をいただく(2023)
多くの専門家の協力を得て
病気解説書 VOICE刊行 無料配布中
小児悪性脳腫瘍で亡くなった娘 かれん12年前にこの世を去った娘かれんは、とても明るいなんでも興味を持つ好奇心旺盛な子どもでした。幼稚園での合唱会では、思いっきり大きな口を開けて「ポーニョポニョポニョ魚の子🎵」と歌っていたのを思い出します。好きなものは、キラキラなもの。そして従姉妹の影響でバレエが好きになり、幼稚園にあったバレエクラブに入りました。楽しそうにやっていましたが、今振り返ると、身体のバランスを保つのがうまくいかず、踊れずにに大泣きしたり、気性に波があったようです。最も印象的だったのは、運動会の徒競走で「よーいドン!!」の先生の号令が出ても、一人だけ全く走れず、その場にうずくまってしまった事です。その時は「かれんちゃん大物だねー」なんて声をかけられていましたが、病気の影響が少しずつ心身に出ていたのかもしれません。
しかし、時々そのようなことがあっても、約一年間、かれんは幼稚園に楽しく通う事ができました。多くの友達もできた後、年中さんになる前に発症、激しい頭痛とともに途端に歩けなくなり入院しました。画像診断で脳幹に腫瘍が発見され、「脳幹部腫瘍」という重大な病気と診断されました。放射線治療で歩けるまでに回復しましたが、やがて再発、もう治療法は無いと医師に告げられた時の絶望感は、今でも頭から離れません。頭の腫瘍のむくみを抑え、症状を軽減するための対症療法のステロイド治療は、みるみるかれんの容貌を変化させ、いわゆるムーンフェイスとなり体重も増えていきました。しかし、そのステロイドで一時的に回復し退院する事もできましたが、すぐに体調を崩し入院となりました。
そんな入退院を繰り返した後、最後かもしれないと約一年半ぶりに訪れた幼稚園では、娘の容貌の変化をあらかじめ先生に伝えておらず、親として、お友達の反応を少し恐れていましたが、かれんは友達に囲まれた後、たった一言のネガティブな言葉も子ども達に言われる事はなく、「かれんちゃんひさしぶりー」といつも通りにあたたかく歓迎してもらい、その事には親として涙が出るほど感動しました。そして、やはり子どもは信じられる尊い存在だと改めて思いました。
その後かれんは、幼稚園での多くの楽しい思い出を心の支えに、最後まで立派に病気と闘い、病院で行われた小学校の入学式直後、6年間の生涯を終え旅立ちます。
この子の人生とは何かを考える時、私は何かを託されたように思えてなりません。
かれんと同様に、毎月のように届く悲報。多くのお子さんをこれまで見送ってきました。しかし、もういいでしょう。ここでこの悲劇を止めましょう。そんな気持ちで志を同じくする仲間と共に、このプロジェクトを計画しました。娘かれんの最期の幼稚園 卒園証書をもらう
このプロジェクトで実現したいこと
今年5月8日〜9日にカナダのトロント小児病院にて、「ACCELERATE」という小児がんの医薬品開発を加速させることを目的とした会合があります。これは、毎回、各種の小児がんの治療研究についての発表や議論がされる催しですが、今回は、小児がんのなかでも、際立った難治性疾患であるDMG/DIPGに特化した治療研究フォーラムが開催される予定です。そこに日本のDIPG患者家族の一人として参加し、世界の研究者、製薬企業、患者家族会と交流を持ち、世界の治療研究状況への知見を深め、一刻でも早く日本のDMG/DIPG患者に新たな治療が届けられるように、世界の参加者に日本の患者の状況をPRし、日本で最新の治療が受けられる国際共同治験実施への道を開いていければと考えています。
「ACCELERATE」の公式サイト タップしてリンク
プロジェクト立ち上げの背景
小児がんは、年間2000〜2500名の子どもたちに発生しています。年間100万人発症する成人がんと比較して、人数も少ないため、小児がんは、いわゆる希少疾患のカテゴリーに入ります。
現在、約8割が治癒すると言われていますが、実にその5割以上の子どもたちが過酷な治療による後遺症に苦しんでいます。また、2割の疾患には有効な治療法がありません。まだまだより良い治療の開発が必要とされていますが、日本の研究機関や製薬企業は、患者の人数が少なく利益が出にくいため、小児がんの治療薬の研究開発に消極的です。それに対して小児の薬剤開発を促すような制度がある欧米では、主に小規模なベンチャー製薬企業が中心となり、このような希少疾患の治療薬の研究が活発に行われ、画期的な薬剤の開発に成功しています。
この欧米との取り組みの差により、日本では、海外で開発された薬が日本の子どもたちに使えない、いわゆる「ドラックラグ」や海外の製薬企業が日本に薬を売ってくれない「ドラッグロス」といった問題が深刻化しています。この問題の解決にはこれまでも多くの声が上がっていましたが、現実にはなかなか進んでいきませんでした。特にここ数年で有力な治療法の開発が進んでいる悪性神経膠腫DMG/DIPGといった「不治の病」とされる患者とそれを見守るご家族にとっては、今や海外の患者に行われている臨床試験を含む新規治療の有力な情報がネットを介してリアルタイムで得られるのに、日本ではそれらの治療にアクセスする術がないという厳しい現実に直面しており、闘病生活において、強い焦燥感と失望感を抱く結果となっています。
悪性神経膠腫とは
様々な小児がんの中でも、今回のフォーラムの話題の中心となるのは、脳腫瘍の分野の神経膠腫(グリオーマ)と言われるもので、これは脳神経の働きを助ける「グリア細胞」ががん化したものです。上述した約2割の治らない小児がんに属する疾患です。
グリオーマにも様々な種類があります(表1)。当会の名称にもなっている「小児脳幹部グリオーマ」とは、正確には、脳幹部に発生するグリオーマの総称です。これにはグレード1から4まで様々な腫瘍が含まれます。 いずれも脳幹という治療が難しい部位に発生しますが、低グレードのものの中には、治療薬が開発されているものもあります。
2016年に世界保健機関(WHO)に規定された脳腫瘍分類では、脳幹、視床といった脳の正中部に発生し、「H3 K27M」という特定の遺伝子の異常を示す腫瘍を、「びまん性正中グリオーマ」‥‥diffuse midline glioma(略称 : DMG)と称するようになり、この腫瘍はグレード4という高悪性度に分類されています。
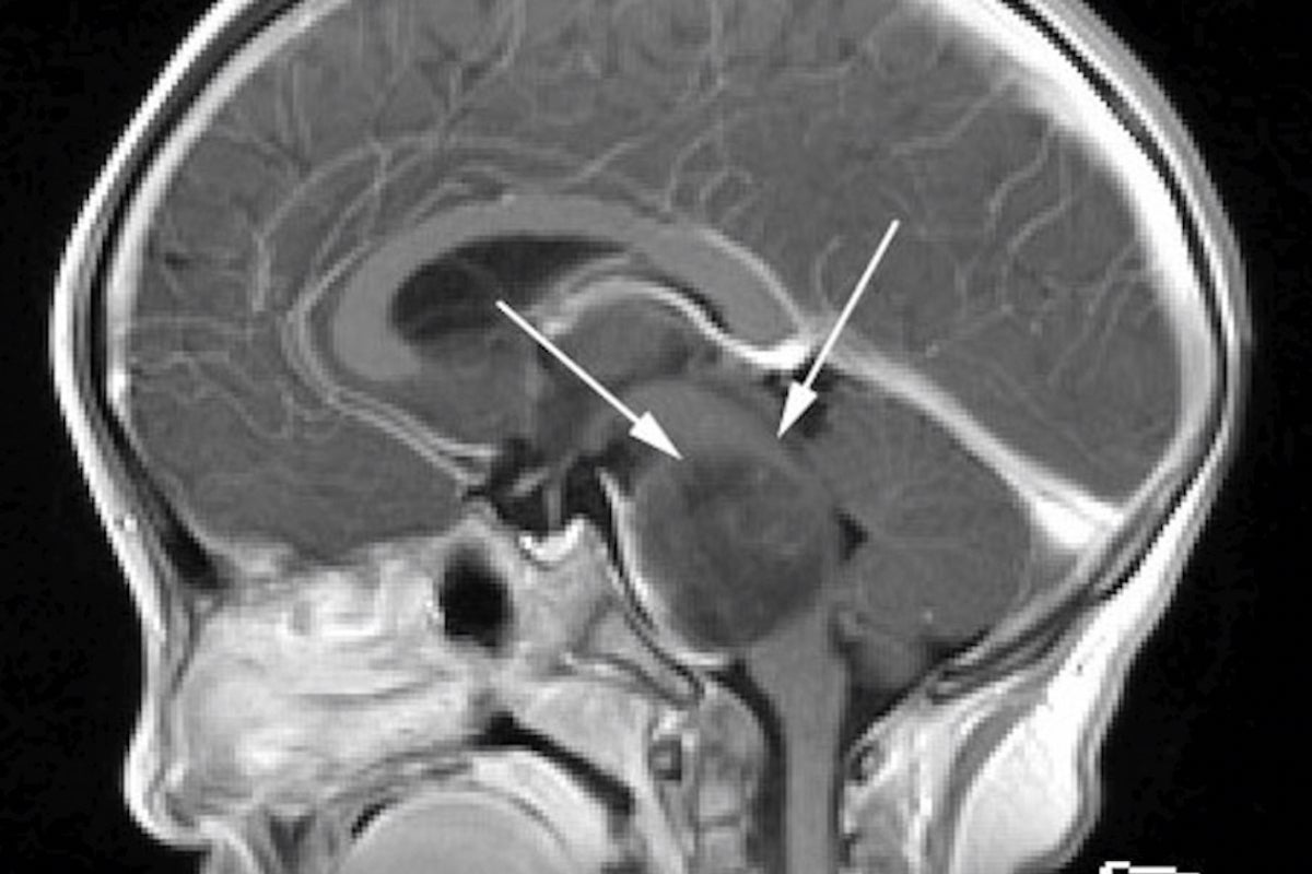
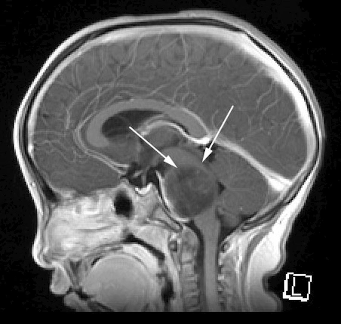
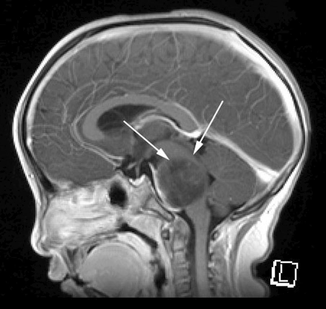
今回のフォーラムで取り上げる中心的な疾患は、DMGのカテゴリーの中でも、より難治性の高い「びまん性内在性橋グリオーマ」‥‥Diffuse Intrinsic Pontine Glioma(略称:DIPG)と称されるものです(図2)。これは、脳幹部の「橋」と言われる部位(図1)に悪性腫瘍が発生する病気で、年間約50名前後の子どもたちが発症します。生命活動にとって重要な神経が交差する場所に発生したがんは、中枢神経を毀損し、身体をまひさせ、その自由を奪っていきます。重要な神経が通る部位のため、そこにメスを入れての摘出手術は不可能であり、また、現時点では確定的な治療薬も見つかっていません。わずかに放射線治療により、一時的な寛解期が訪れますが、約半年以内で再発し、その後の治療法は無く、呼吸や血圧を維持できなくなり、やがてほぼ100%の確率で死に至ります。発症から1年以内に亡くなる確率は50%以上という、最も過酷な小児がんです。現在まで、世界中でこの病気の治療法が探索されて来ましたが、未だ形にはなっていません。しかし、近年、遺伝子解析技術の飛躍的発展によって、徐々に有効と思われる治療法が見つかりつつあります。
表1 グリオーマの種類とグレード
参考 : 国立がんセンター「がん情報サービス」より
図1 脳の各部位
図2 DIPGのMRI画像
臨床試験とは
治療薬は臨床試験によって、その効果が確認され製品化されます。第1相から第2相、第3相という3つの試験のハードルをクリアし、使用量や安全性、そして有効性が確定され、そのデータを検討の上、国に承認され、製品化されます。しかし、それを突破し、新薬となる確率は実に約3万分の1という狭き門です。現在、この第3相試験までクリアしたDIPGの治療法はありませんが、第1相試験の結果や、第2相試験の途中経過などから見て、かなり最終的な有効性が期待されるいくつかの治療法の臨床試験が主に欧米で継続中です。
より正確には臨床試験は「治療」ではなく、製薬企業が薬剤承認を受けるためのデータを取得するための試験/実験ではありますが、DIPGのような治療法が無い疾患の場合、患者は、これらの治療法を一刻も早く使用したいと考えます。そして長期の時間を要する薬剤開発においては、現実問題として、この臨床試験への参加が、患者が最も早く新しい治療にアクセスする事ができる方法となります。しかし日本ではこの臨床試験が行われず、DIPG患者には治療の選択肢がほとんど無いのが現実です。
その理由は、日本国内での治療研究がほとんどされていないのと、欧米の研究機関・製薬企業から臨床試験参加の誘いがほとんど無いからです。実に年間で米国の1/9、EUの1/4程度しか日本では小児がんの臨床研究が実施されていません(図3)。
図3 世界の小児がん臨床試験数比較
本来ならDMG/DIPGの様な希少疾患は患者数が限られるため、治験の成立のためには、より多くの国の医療機関、患者の協力による「国際共同治験」の実施が必要です。しかし、欧米の製薬企業が日本での臨床試験実施を避ける傾向がこの臨床試験の実施数に影響していてます。
その理由は、このような画期的な治療法を開発しているのが、規模の小さなベンチャー製薬企業のため、承認を得るための臨床試験実施にコストがあまりかからない国を選択する傾向があるためです。日本の治験費用は他国と比べて割高で、使用言語も特殊なため、データ取得には、翻訳などの問題もあります。また、規制が多くその制度も複雑で、昨今の薬価の安さと少子化、30年にも及ぶ経済的な沈滞などもあって、近年の欧米の製薬企業が日本を将来の有望な市場と認めなくなりつつあります。
やっと国も動き始めています
昨今、これらの問題に国もやっと本格的に取り組み始めました。有識者会議などで多角的に検討され、政府の重要課題の一つとして、国策としてのドラッグラグ/ロスの解消が謳われ、海外研究機関や製薬企業が、日本にコミットしやすい様に制度改革をはじめとする施策が講じられようとしています。まさに、今、これらの問題を解決していく好機なのです。様々な機会を捉え、海外の研究機関や製薬企業に、日本の患者の置かれた状況をPRし、また国の新たな取り組みもPRしてていく事で、問題解決に向けてより良い方向に進めていけないかと思っています。
◉参加経験者の声「ACCELERATE」とは小児がん治療を加速させる戦略を議論する場です
『小児がんの患者さんに対する革新的な治療法を導入するプロセスを“加速”することは、日本のみならず世界中の患者さん、御家族、医療者そして小児薬剤開発に関わる全員の願いです。今、日本だけではなく、世界でさらに多くの取り組みが必要とされています』
『"ACCELERATE" は、世界からアカデミア、産業界、規制当局そして患者支援団体といった関係者が結集し、小児・思春期のがん患者に対する革新的な治療法のための解決策を見つけることを目指した組織です。作用機序に基づく治療の必要性、全ての関係者間の協力や連携の促進、そして国際的な規制環境の優先事項などを、年に数回議論して成果を報告しています。この組織の大変素晴らしい特徴のひとつとして、この組織内では全ての関係者は平等な発言権を持つことが挙げられます』
『今回開催される"Paediatric Strategy Forum"(小児戦略フォーラム)はACCELERATEが主催する会議で、特定のテーマについて薬剤開発の戦略をたてて薬物開発を促進して治療導入することが目標であり、今回、遂にびまん性正中グリオーマに焦点があてられ議論されることになりました。治療法開発における産業界の興味と参加を促進することが目標だとされており、日本の患者支援団体の皆さんが初参加することで、貴重な海外治療の最新情報を得ていただけるだけでなく、びまん性正中グリオーマの治療薬開発をしている海外の製薬企業やアカデミア、そして同じ思いをもつ患者支援団体と直接対話していただくことが可能になると思います』
『特に小児脳腫瘍のような患者さんが少ないがん(希少がん)の未来を考えた場合には、国際共同は欠かせません。同じ志をもつ世界の仲間と連携を図る機会を得ることにより、高悪性度グリオーマの中でも特に厳しい治療状況が続く、日本のDIPGの患者さんの現状を変えるきっかけとなるような、一筋の光が差し込むことを願っています』
「ACCELERATE」への参加でDIPG治療を日本へ
患者家族としての今回のACCELERATEの治療研究フォーラムへの参加はとても有意義なものと考えます。現時点で有望とされ、臨床試験が継続している「GD2 CAR-T療法」や、「ONC201」などの研究機関、製薬企業関係者が参加し、現在進行している様々な治療研究の発表が行われ、この小児がんの問題解決に向けて討議が行わる予定です。また、各国の多くの患者支援団体も参加の見込みです。
今回、一人の患者家族として、日本から参加される医療者、関係者の方々と連携して、できるだけ多くの海外の研究者や製薬関係者と交流を持ち、PRや情報交換をしたいと考えております。また、現在の日本の患者が置かれた状況や患者家族の思いや日本の取り組みを掲載した英文の小冊子を作成し、参加者に配布することで、限られた時間で日本の情報をより詳細に発信していく予定です。また、これを機に、日本の状況を海外へ発信するための英文のホームページも立ち上げたいと考えております。
一人でも多くの皆様のご理解とご協力で、今回のカナダのトロント小児病院で開催の「ACCELERATE DMG/DIPGの治療研究フォーラム」に参加させていただき、新規治療の国際共同治験の実施など、日本のDMG/DIPGの子どもたちを救う方法を見つけて行きたいと思います。ご支援をどうぞよろしくお願い致します。
現在の準備状況
◎トロントへの渡航の準備
◎海外在住の当会員や現地の通訳/翻訳の人材の確保を検討
◎フォーラムに参加される方に日本の状況をPRするための英文の小冊子(A4 12ページ予定)の作成、ホームページ立ち上げの準備
◎フォーラムに参加する有力な研究者や患者会代表との対談など、様々な可能性を検討しています。
リターンについて
500円〜1,000円‥‥‥‥‥御礼メールをお出しします。
3,000円〜10,000円‥‥‥ 御礼メールと参加レポート(4ページ予定)のPDFを送付します。
30,000円〜100,000円‥‥御礼メールと参加レポート(8ページ予定)のPDFを送付します。
スケジュール(予定)
3月上旬 小冊子編集、HP作成開始
3月下旬 旅客機、宿泊等渡航準備
4月下旬 小冊子、HP完成
5月6日 日本を出発
5月8日、9日 フォーラム参加
5月11日 日本帰国
6月下旬 リターン完成、配布
資金の使い道(推定)
◎渡航費 往復30万円
◎宿泊 3泊4日 10万円
◎通訳・翻訳 25万円
◎小冊子デザイン・印刷費(300部) 25万
◎ホームページ制作費 5万円
※最低1名が現地参加を予定しています。
※宿泊施設は先方の推奨するものを基本に計算。
※獲得額により各費用を再検討の上、実行します。
※目標額を大幅に下回り渡航に至らない額の場合、又は、目標額に達しても、航空機の欠航や病気等何らかの原因で貫井が参加できない事態となった場合は、参加予定の現地の日本人研究者と連携し下記を予定。
◎英文の小冊子作成とその配布
◎海外向け英文ホームページ作成と公開
その場合、未使用ご寄付は次の機会のDIPG関係の学術会議への参加費用に致します。どうかその点をご理解の上ご了承下さい。
最後に
患者家族のネットコミュニティーを、立ち上げて12年、これまでにDIPGで亡くなった子どもたちは、少なくとも500名を超えます。これが後10年続くことは、何としても阻止しなければなりません。
今回の試みを、一人でも多くの皆様にご理解いただき、ご支援をいただきます様、心よりお願い致します。
◉企画・運営
「ACCELERATE」日本参加プロジェクトチーム
貫井孝雄(小児脳幹部グリオーマの会)/運営責任者
岩川友紀(小児脳幹部グリオーマの会)
高木伸幸(一般社団法人トルコキキョウの会)
神門えみ子(まるここクラブ)
※今後も順次協力者を求めていきます。
<募集方式について>
本プロジェクトはAll-in方式で実施します。目標金額に満たない場合も、計画を実行し、リターンをお届けします。
最新の活動報告
もっと見るACCELERATE 公式論文
2025/02/01 00:48こちらの活動報告は支援者限定の公開です。新団体設立準備サイトを開設しました
2024/09/18 01:02こちらの活動報告は支援者限定の公開です。次の展開について
2024/09/11 06:39こちらの活動報告は支援者限定の公開です。









コメント
もっと見る