はじめに・ご挨拶
はじめまして。
このページをご覧いただきありがとうございます。
飼い主の朝田と申します。我が家の愛犬の名前はプラムと申します。犬種はジャックラッセルテリア、年齢11歳の女の子です。ボール遊びなどの運動が大好きで寂しがり屋です。
プラムとの出会いは私がニュージーランドに住んでいた時にブリーダーの方から購入させていただきました。プラムが生後7週間くらいの頃です。
飼い始めた頃のプラム
背中のブチがトレードマーク
その後、プラムが1歳の時に私の日本帰国の際に一緒に連れて帰って来ました。飼い主の都合でまだ子犬のプラムは長いフライトを不安いっぱいの中、頑張ってくれました。
プラムは若い頃に尿路結石の病気になり、人間と同じおいしい物を食べさせてもらっている他のわんちゃん達がたくさんいる中、プラムはその時から決まったドッグフードしか食べる事ができません。(少量の犬のおやつはあげています。)
そんなプラムが昨年定期健診の際、心臓に雑音があるとお医者様に言われ、心臓病の僧帽弁閉鎖不全症 と診断されました。
この病気について少し説明させていただきます。
僧帽弁とは、心臓の左心房と左心室の間に位置する2枚の薄い弁で健康な状態なら心臓が収縮する時に閉鎖し、左心房への逆流を防いでいます。しかし、この僧帽弁閉鎖不全症という病気はこの弁が完全に閉鎖できず、心臓が収縮する際に全身へ拍出されるべき血液の一部が弁のすき間から左心房へ逆流する状態になる病気です。その結果、左心房の圧が上昇し、肺のうっ血が起こります。この状態が長く続くと、心不全を起こし、肺水腫(肺に水がたまる)などの呼吸困難や、左心房が大きくなる事により咳(のどに何か詰まったようなしぐさ)をします。また、左心房への血液の逆流により、左心房の壁が障害され、そこから心臓の外へ血液が漏れて、急死する事もあります。
この病気は人にも起こる病気です。人の場合は手術による治療も広く一般的ですが、わんちゃん達の手術は近年やっと進歩している状況です。
前回の定期健診でこの逆流の量が多くなってきているとお医者様に言われました。心臓の大きさも前回より膨らんできていました。
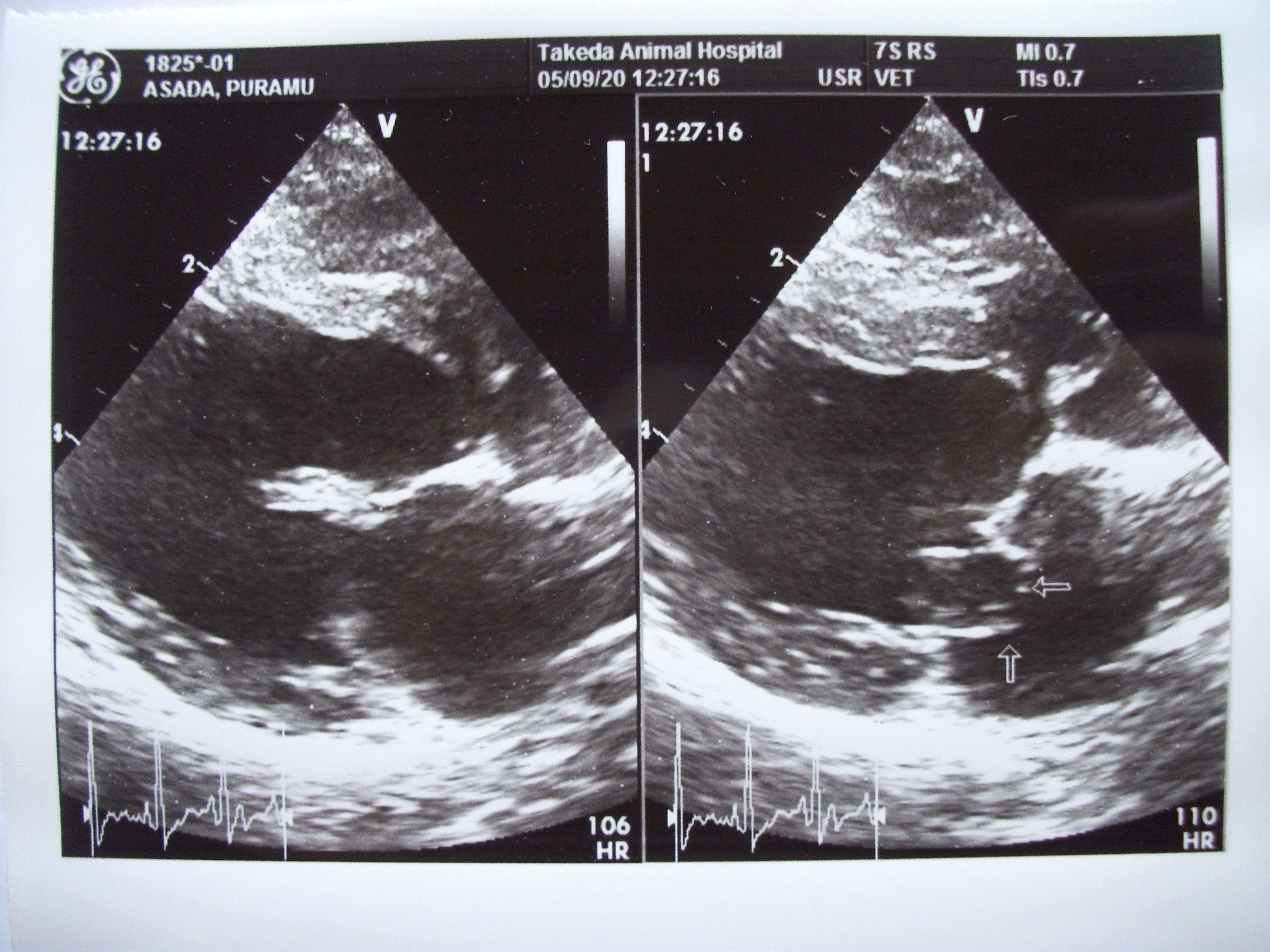
2020年5月9日の診断
この1年で何度も検査をしました。
右側の写真の矢印部分、くの字に折れ曲がっていて
この隙間から血が逆流します。
この病気は手術をしなければ薬によって治る事はありません。薬は症状の悪化をできるだけ遅らせるだけです。しかし、薬を飲でいても時間の経過と共に症状は進行し悪化してくれば咳や呼吸困難になり、そして肺水腫でもがき苦しむ状態になる事もあります。そしてその苦しみは薬では治らないので命が尽きるまでずっと続くそうです。現在プラムはその苦しみがやって来る一歩手前まで来ています。 一説には薬による対処療法が始まってから80%のわんちゃん達が2年以内に亡くなってしまうというデータもあるそうです。そう考えるとプラムに残された時間はあと1年。
藁をもすがる思いで、手術予定の病院にて検査を受けました。
手術予定の病院での検査費用明細
診断は、片方の弁だけでなく両弁尖がひどく伸びていて破損状態は重度。逆流が起こっているものの今は奇跡的に伸びた弁でもうまく納まっていると言われましたが、言い換えればこの奇跡的状態がいつ壊れてもおかしくない状況ということです。もし、この奇跡的な状態が何かの拍子で壊れてしまい、肺水腫を起こしてしまえば余命は8か月だそうです、、、。
またこの病気はジャックラッセルには珍しいようで、日本でこの手術ができる先生は5人しかいないといわれるそのうちの一人であるご担当の先生の方でも経験がないようで、この犬種特有と体型、胸郭形状(いわゆる鳩胸)のため開心術も他の犬種に比べて難易度・リスクが上がるそうです。それでも先生はできなくはないとおっしゃってくれましたが、そのほか万が一のことも含め、たくさんのリスク因子のご説明も受けました。不安で不安でたまらないというのが正直なところです。
でも先生を信じて手術することを決意しました。
私達は、薬でも症状を遅らせてはくれるかもしれませんが、苦しみが死ぬまでずっと続く可能性がある状態よりも、高額ではありますが手術してその苦しみから救い、助けてあげたいのです。そして、今まで通り元気にこれからも大好きなボール遊びやお散歩で思い切り走らせてあげたいのです。
ジャックラッセルは元は狩猟犬で、動くものを追いかけるのを得意とします。運動量も非常に多く、とにかく走ることが大好きです。それを制限されるのはプラムにとってはものすごくストレスになっていると感じます。
サッカーボールで遊ぶのも大好きなプラム
どうかそんな私達に手を差し伸べていただけないでしょうか。
何とかプラムを助けてあげたいのです。
どうぞよろしくお願い致します。
このプロジェクトで実現したいこと
皆様のお力添えでいただいた資金を活用し、プラムに対する僧帽弁閉鎖不全症の手術を実施いたします。
手術によって命を落とす可能性もゼロではないですが、何としても成功させたいと願っております。本当に実現したいことは手術そのものももちろんそうですが、それによって回復したその後のプラムの一生をより長く最期まで楽しく一緒に迎えたいということです。
プロジェクトをやろうと思った理由
投薬による対処療法では、 突然悪化して咳や呼吸困難でこの先一生亡くなるまで苦しい思いをし続ける可能性があります。 そんな思いをさせたくない、大好きなお散歩や運動を寿命が来るまで思う存分させてあげたい。今まだ体力のある内に手術をさせてあげられたらとこちらのCAMPFIRE様を利用させていただき、皆さんにご協力をお願いしてみようと思いました。
本来なら飼い主である私達が用意しなければならない費用ではございますが、手術代が高額で日々の節約、貯金などだけでは誠に情けない話ですが、用意できそうにありません。プラムの年齢的にもいつ突然悪化するかもしれず、時間的余裕もありません。
ですが、何としてもプラムを救って苦しまずに大好きなお散歩や運動を思う存分させてあげて、この先少しでも長く幸せに過ごしてほしくて皆様にお願いしてみようと思った次第です。
これまでの経緯
精密検査歴:
・2019年5月 主治医により僧帽弁閉鎖不全症と初めて診断されました。投薬を開始。
・3~4ヵ月に1度、主治医による定期検診。特に変化は認められず。
・2020年5月初旬 僧帽弁の左房側への変位。逆流量の増加。薬の量が増えました。
・2020年5月下旬 手術予定の病院にて検査。両弁尖の破損具合が重度と診断されました。
現在手術の予約待ちですが、数ヵ月先となるようです。同じ病気でプラムより重症なわんちゃん達がたくさんいる中で、手術が可能な病院が限られているからです。
資金の使い道
心臓病の僧帽弁閉鎖不全症の手術費用それに伴う検査、入院費用
概ね120万円程になると思います。
病院での費用:120万円 + TAX (10%) = 132万円
CAMPFIRE様への手数料17%:170万の17% = 28万9000円+TAX (2万8900円) = 31万7900円
合計:163万7900円
予定より多く集まった場合は、その後のプラムの検査費用などに使わせていただきます。すべてプラムのために使わせていただきます。
プロジェクト実行後、詳細な内訳をご報告させていただきます。
リターンについて
ご支援いただいた方々には、お礼のメッセージ、資金の使用状況を含む活動報告、術後のプラムの画像、大好きなボール遊びをするプラムの動画など、心ばかりではありますが、感謝を込めてお届けしたいと思っております。
実施スケジュール
2020年7月4日(土) 病状の再検査、および血液検査の予定 (予約済み)
血液検査をしてプラムに合う血液のドナーを確認する必要があるそうです。ドナーが確保できる状況が判明してから手術日程が決まります。決まり次第、スケジュールを更新いたします。
最後に
ここまで長々と読んでいただき、誠にありがとうございました。
プラムは私達が外出する際、行けるところはほぼ一緒にお出掛けします。これからもできるだけたくさんいろんな景色を見せてあげたり経験をさせてあげたいと思っています。
ビーチでボールを取ってくるプラム(福岡市ももち浜)
自転車に乗ってのお出掛けも大好きです。
日差しが心地よく眠くなるプラム
新型コロナウィルスの影響で多くの方々が大変な思いをされていらっしゃる事は重々承知しております。
個人的なプロジェクトで不快な思いをされた方がいらっしゃったら申し訳ございません。
勝手なお願いだと思われる方もいらっしゃるかもしれませんが、それでもやはり私達はプラムをどうしても助けてあげたい。死ぬまで苦しい思いをずっと続けるような状態にさせたくないのです。
どうか目標金額に到達できますよう、皆様のお力を何卒お貸し下さい。お知り合いの方々にもお声がけをしていただけたらありがたく存じます。どうぞよろしくお願い致します。
このプロジェクトを通して、こういう病気がある事をより多くの方々に知っていただき、たくさんのわんちゃん達のこの病気に対する早期発見、それにより救われる命がたくさんある事を願っております。
そして、現在同じように愛するわんちゃんがこの病に冒され、日々苦しんでおられる飼い主様達の一筋の光になれればと願っています。
どうぞよろしくお願い致します。
本プロジェクトはAll-in方式で実施します。目標金額に満たない場合も、計画を実行し、リターンをお届けします。
最新の活動報告
もっと見る画像のメールならびに動画のメールを受信されなかったご支援者の皆様へ
2020/12/27 01:31こちらの活動報告は支援者限定の公開です。画像のメールならびに動画のメールを受信されなかったご支援者の皆様へ
2020/11/23 02:11こちらの活動報告は支援者限定の公開です。画像のメールを受信されなかったご支援者の皆様へ :追記
2020/10/22 16:00こちらの活動報告は支援者限定の公開です。






コメント
もっと見る