はじめに・ご挨拶と経歴
数あるプロジェクトの中からご覧いただきありがとうございます。
久井めぐみと申します。
うちの裏の用水路で事故にあった子猫がうずくまっていたのを保護しました。
雨の中かすかに2日ぐらい鳴き声がしてたのでフェンスを超えて探したらすぐ見つかりました。
保護してそのまま近所の病院でレントゲンしたところ骨折7箇所でした。
雰囲気としては裏にある砂利の駐車場でタイヤに巻き込まれて完全にタイヤで踏まれたのではないかと。体が小さいので砂利でデコボコした隙間で内臓が助かったのではないかとのことです 。
骨盤脱臼、左右腸骨、尾てい骨、大腿骨関節付近、尾の7箇所骨折と内出血。
内蔵軽症損傷、血便。
骨の専門医が必要な難しい手術みたいで手術できる病院を毎日探してる感じです。
チタンプレートで固定する手術になります。

このプロジェクトで実現したいこと
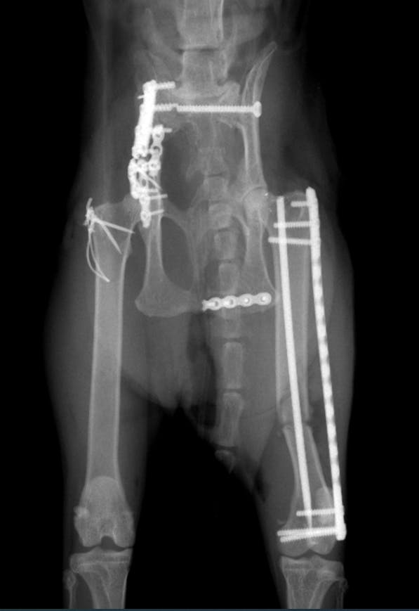
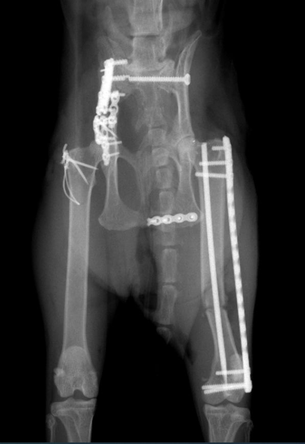
治療箇所
骨折治療箇所は6箇所(しっぽも骨折しておりましたがこちらは治療いたしません)
ほぼ同じような形になるので借りてきた画像で説明します。
このように腸骨の復元とチタンプレート固定で骨を正しい位置に修正します。
左脚の大腿骨遠位端成長板分離骨折
左側の腸骨骨折部の固定
両側の仙骨脱臼の整復
仙骨脱臼により骨盤が狭窄された形になり、重大な排便困難になる可能性が高いのでその治癒を目的とした治療です。
固定した腸骨の上端をボルトやワイヤーで内側に引っ張ることで仙骨を支点にして骨盤内腔を拡げます。

プロジェクトをやろうと思った理由
治療をしないままですと成長過程で排泄障害が出て死亡する可能性があるからです。
これまでの活動
こちらのサイトは初めて知り使用致します。
資金の使い道
目標金額に達しましたら、資金は全て手術代に充てさせていただきます。
仮に足りなかった場合には自分で補填して必ず手術は受けさせます。
治療後の領収書を含めご支援いただいた方々にメールにて添付させていただきます。
リターンについて
リターン品に関しまして 、
不肖ながらマンガ家という職業をしておりますので、イラストをプリントしたグッズやステッカーなどを考えています。
お友達の漫画家の赤星たみこ先生、イラストレーター巨匠、開田裕治先生もイラスト提供いただきまして、グッズとしてお届けしたいと思っています。支援いただいた方全員に、収支報告とお礼のメール方々、送付したいと思います。
リターンにつきましては限定数を設定してないのでお一人様複数個ご支援いただけます。
実施スケジュール
子猫は骨の形成が早いので骨盤を圧迫する形態になる前に手術したいと考えております。
最後に
治療後はうちの子として責任を持って終生一緒に暮らそうと思ってます。
手術後もプレートの抜去等、場合によっていくつか治療を施しながら育てます。
何卒よろしくおねがいします。
<All-in方式の場合>
本プロジェクトはAll-in方式で実施します。目標金額に満たない場合も、計画を実行し、リターンをお届けします。
最新の活動報告
もっと見る
リターンのマグネットとポストカード仕上がりました!
2020/09/07 16:45開田裕治さんのポストカードとマグネットがしあがりました(⌒▽⌒)配布が遅れてすみません><今月中にみなさまのお手元に届くようにいたします。そしてコミケ(ミケ)の様子です。↓元気に砂を散らかしています。とても楽しそうです。 もっと見る
リターンのステッカー仕上がりました(⌒▽⌒)
2020/08/27 11:30遅くなりました。とりあえず赤星たみこ先生と私のイラストステッカーのみ仕上がりましたので順番に配布させていただきます!みなさま本当にありがとうございました(⌒▽⌒)8月8日で通院はとりあえず終了いたしました。プレート抜去も子猫の体力的問題から麻酔手術を重ねないほうが良いとの判断で抜去しない方向になりました。去勢手術の時期にまた状態を見ていただく感じになりました。ミケさんの様子は、 隔離部屋を開放したのですがまだ他の部屋に出ようとしません。部屋の中ではちゃんと歩いて遊んでいます。そしていまとても甘えん坊さんです。歯もまだ乳歯です。 もっと見るプロジェクト終了いたしました。
2020/08/02 22:15こちらの活動報告は支援者限定の公開です。






コメント
もっと見る