
画像は病院で診察を受ける猫さん。
月曜に保健所から出て治療の為に東京へ行った子です。
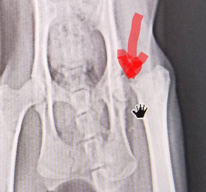
レントゲン①
割れた大腿骨付け根が神経とか筋肉密集エリアに刺さっているそうです。
それは聞いただけでも痛そうな状態。
矢印の部分を削る手術だそうです。
レントゲン②
骨折2ヶ所目。
こちらは手術せずに治せるそうです。
レントゲン③
骨折だけでなく骨の変形も見つかりました。
これは事故によるものというより先天性の奇形かもしれないとの事でした。
この猫さんは八重山保健所に事故収容されたR4-No.5です。
R4は令和4年の4月1日~翌年3月31日までの期間、No.5は犬猫合わせた数の5匹目です。
八重山保健所に今月収容された犬猫はこの活動報告を書いている時点で6頭、うちNo.4とNo.6は犬で飼い主がすぐ迎えに来ましたが、No.1は猫で保健所に持ち込まれた時点で瀕死の状態、飼い主が迎えに来る事は無く保健所で息を引き取りました。
新川のかりゆし病院付近で衰弱している状態で見つかった猫との事です。
おそらく野良猫と思われますが、もしもキジトラの♀を探している飼い主さんがいたらという事で1週間ほど掲載されていました。
しかし誰も現れなかったので現在はリストから消えています。
R4-No.5の猫も飼い主は現れませんでした。
石垣島では屋外にいるのは9割以上が野良で、飼い主が現れる事はほぼありません。
4月25日の昼前、八重山保健所からラリマーの代表名義で引き出しました。
治療の為の空輸時の搬送協力は島猫見守るニャンの会。
治療預かり・画像提供はしゃーねこ家さん。
猫さんの手術結果は、後日また報告します。
この報告の他、後日しゃーねこ家さんが東京での様子をブログで発表予定です。
石垣島は今、春休み~GWの時期で観光客が増えています。
レンタカーを見かける事が多くなり、交通量も増えています。
観光客の皆様、慣れない土地での運転ですからくれぐれも気を付けて走行お願いします。
地元民の皆様、慣れた道でも動物がいつ飛び出してくるかと警戒して運転お願いします。
プロジェクト残り3日、現在84人の方に御支援頂いています。
石垣島には多くのTNR候補猫たちがいます。
治療が必要な猫たちもいます。
4月30日まで拡散・御支援どうぞよろしくお願いします。
このプロジェクトはAll-In方式です。
目標金額に関わらず、2022/04/30 23:59:59までに集まった金額がファンディングされます。支援総額により、TNR頭数・治療出来る地域猫頭数が変わります。





